DownLoad PDF
Go Back

JICD,Vol.5,No.1,e003,2024

ENG / CHN / JPN / ESP

Clinical Report

A case report of interdisciplinary treatment for broad type periodontitis patient.

Yuki Ohtani 1,2) Masato Yamaguchi 3) Shuichiro Yamashita 5) Kazuhiro Yamada 5) Yasuhiro Tai 6) Ryuichi Mizutani 1) Yuki Ozaki 1) Nanae Dewake 1) Keiichi Uchida 7) Nobuo Yoshinari 1,2)

1) Department of Operative Dentistry, Endodontology and Periodontology, School of Dentistry, Matsumoto Dental University.
2) Oral Health Science, Department of Oral Health Promotion, Oral Science Course, Matsumoto Dental University Graduate School of Oral Medicine.
3) Yamaguchi Dental Clinic,Nagano,Japan.
4) Department of Removable Partial Prosthodontics, Tokyo Dental College.
5) Asunaro Pediatric Dental Clinic, Toyama, Japan.
6) Tai Dental Clinic,Kanagawa,Japan.
7) Department of Hard Tissue Research, Graduate School of Oral Medicine, Matsumoto Dental University.

Corresponding Author: Nobuo Yoshinari, D.D.S., Ph. D Phone & Fax: 0263-51-2015 E-mail: [email protected]

Abstract

The oral function of periodontitis patients is maintainable only after inflammation is tightly regulated, and additionally, after proper vertical and horizontal jaw position is established and occlusal relationship is restored as typically found in posterior disocclusion with anterior guidance. Advanced periodontitis is however characterized by progressive periodontal tissue breakdown leading to teeth mobility and pathologic migration. As a result, once the occlusal balance is disturbed,excessive force load is applied in the form of traumatic occlusion, causing the periodontal tissue to surpass its adaptive threshold, thereby generating secondary occlusal trauma, and in turn, further periodontal tissue destruction in more than a few cases.

Treatment goals were established for a patient on the verge of experiencing occlusal collapse due to broad type periodontitis, which was to stabilize inflammation and occlusion. We would like to present a case in which positive results were achieved with interdisciplinary treatment team approach that includes specialties such as periodontal disease, orthodontics, prosthetic treatment, which led to long term stability. The patient was a 39-year-old male at the time of initial visit. He presented to the Periodontal Disease Department of the Matsumoto Dental University Hospital with a chief complaint of teeth mobility across the full jaw length. After being diagnosed with broad type periodontitis resulting in teeth separation and misaligned crowded teeth, basic periodontal treatment and periodontal surgery were performed with improvement in the periodontal tissue. With subsequent treatment for oral function improvement, teeth misalignment improved, and dentition continuity was achieved with orthodontic treatment. Ultimately, occlusion was established across the full jaw length with prosthetic treatment, whereby healthy oral environment was achieved; the patient has been on Supportive Periodontal Therapy (SPT) for 10 years.

Key words:broad type periodontitis, malalignment of teeth, prosthetic treatment, team approach, interdisciplinary treatment

Introduction

Periodontitis is a chronic inflammatory disease caused by infectious permanent bacteria in oral cavity,characterized by breakdown and resorption of gingival connective tissues and alveolar bones, which is a lifestyle disease contracted by approximately 50% of the Japanese population that are 40 years or older.1 After periodontitis has progressed, pathologic mobility and migration generally occur as the disease progresses. Reports have indicated that pathologic teeth migration was observed in 30 – 55.8% of periodontitis patients.2-4 Additionally, periodontal tissue breakdown is evident in advanced periodontitis patients. In more than a few cases of such patients, the periodontal tissue cannot bear the chewing forces and occlusal forces that were exerted when these patients were healthy. The occlusal forces exacerbate teeth mobility after exceeding the adaptive threshold of the periodontal tissue, which results in occlusal trauma breaking down the periodontal tissue, and in secondary trauma on the periodontal membrane, and thus further exacerbate the already compromised oral health of such patients. Furthermore, malalignment of teeth and malocclusion in patients with healthy periodontal tissue cause poor occlusal contact relationship with the teeth on the opposite counterpart of the jaw, leading to early occlusal contact, excessive lateral force, and traumatic occlusion, thereby causing primary occlusal trauma in healthy periodontal tissues. Therefore, inflammatory periodontal diseases and traumatic occlusion are interrelated, and mutually contribute to the exacerbation of one another, and thus, to provide long-term stability in oral health and to prevent recurrence of various challenges, occlusal treatment for periodontitis involving traumatic occlusion, in addition to controlling inflammations, is imperative for stabilizing occlusion and for dispersing occlusal force.

Moreover, patients with advanced periodontal disease often suffer from complex disorders involving dental caries, dental pulp disease, esthetics, temporomandibular joints in addition to periodontal disease, and therefore in many cases require interdisciplinary treatment in their treatment plans consisting of a combination of multiple treatment approaches, such as coronal restoration, endodontic, orthodontic and prosthetic treatments in addition to periodontitis treatment by specialists in each area.5-7

Here we would like to present a case report on a patient whose periodontitis progressed at a young age. This patient has been maintaining well on long-term SPT after a team of specialists in each department of Matsumoto Dental University Hospital provided interdisciplinary treatment in a single mouth.

Case

Patient: 39 years old (at the time of initial visit), male

Initial visit: June 2007

Chief complaint: teeth mobility across the full jaw length

1. Systemic medical history

No systemic medical history to make note of.

2. Oral medical history

Sometime around 2004 (at age 35), the patient received treatment for caries on a few teeth at a nearby dentist. Until then, he did not have any preexisting caries or periodontal diseases. and had never seen a dentist. In the same year however, as he noticed movement in his teeth across his full jaw, he received his first diagnosis at the Matsumoto Dental University Hospital (hereinafter “this hospital”). He was busy back then, and therefore, only received treatments for carries a few times and had periodontal pockets cleaned. In 2005 (age 36), in addition to teeth movement, he began to notice gingival bleeding, foul breath, food particles between teeth. In June 2007 (age 39), he returned to this hospital for a visit and was referred to the periodontics.

3. Family history

Both parents have been wearing complete upper and lower dentures from age 65. The brother, who is 5 years older than him, has been receiving treatments at a nearby dentist after being diagnosed with periodontitis.

4. Lifestyle and habits

The patient has a history of smoking 20 cigarettes a day for 5 years in his 20s. He did not drink regularly but occasionally drank 180ml of alcoholic beverages with his work peers.

5. Present condition

1) Systemic findings

166cm tall,weighs 64.0kg,with BMI(Body Mass Index) of 23.2 , medium build medium height.

2) Intraoral findings

(1) Macroscopic findings

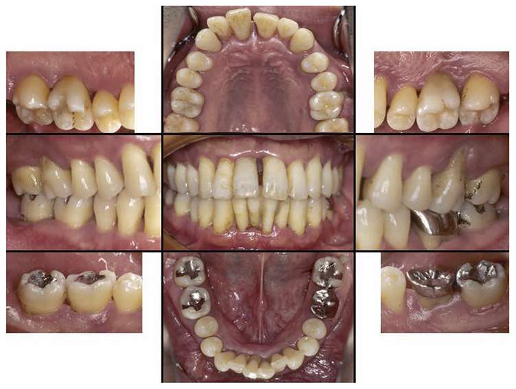
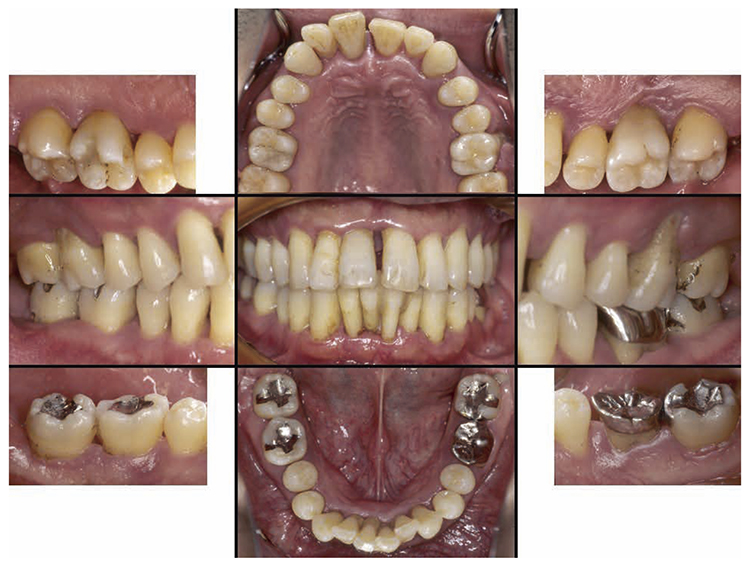
No obvious redness and swelling were present in the marginal gingiva across the full jaw; some blood congestion was however observed. The gingival shape of the anterior teeth in the mandible and maxilla was that of a thick shelf. Significant gingival recession was observed on the mandibular anterior teeth and the buckle side of the left and right maxillary first molar. The dental arch on the maxilla and mandible had a parabolic shape. Teeth separation was however observed between the maxillary central incisors, maxillary right central incisor and lateral incisor, maxillary right canine and first premolar, maxillary left canine and first premolar, and crowding was observed in the mandibular central incisors (Fig.1a).

(2) Examination of periodontal tissue

At the time of first visit, the average PD (Probing Depth) on the full jaw was 4.5mm,maximum PD was 10.0mm, 43.5% had PD of 3mm or less,38.7% for 4-6mm,17.9% for 7mm or above. The average BOP (Bleeding on Probing) on the full jaw was 42.3%,teeth mobility on 17,22,23,32,33,41,46 was grade 1,grade 2 on 11,12,21,and grade 3 on 16,24,26,31 (Miller classification). Additionally, grade 1 on 36,16(mesial, distal),26 (mesial, distal) and 36,grade 2 furcation involvement (Lindhe & Nyman classification) was observed on 47. The plaque score at the first visit (O’Leary’s Plaque Control Record:PCR value) was 83.9%, which indicated poor oral hygiene status (Fig.1b).

(3) X-ray findings

At the first visit, the findings showed moderate to advanced horizontal alveolar bone resorption in the entire jaw, and advanced vertical bone resorption on 24,36,46, 47. Additionally, on 46,47 were radiolucent findings that were likely associated with furcation involvement, and radiolucent areas on the alveolar bone surrounding the root apex were shown on 16,11,26. Furthermore, distally on 47, radiolucent findings showed caries extending into the dental pulp.(Fig.1c).


Fig 1a
(Fig.1a) Intraoral photo taken during first visit (June 2007)


Fig 1b
(Fig.1b) Results of periodontal tissue examination during first visit (June 2007)


Fig 1c
(Fig.1c) Dental X-ray 14 during first visit (June 2007)


6. Bacterial antibody test

Bacterial antibody test for periodontal disease (DEMECAL®,Leisure Inc., Tokyo) was performed. Blood was drawn from the fingertip on an empty stomach, 3 hours after the meal. Antibody findings of 4 bacterias, A.a bacteria (Actinobacillus actinomycetemcomitans), P.g bacteria (Porhyromonas gingivalis), P.i bacteria (Prevotella intermedia), E.cbacteria (Eikenella corrodens) showed that antibody titer did not rise in any of the 4 bacteria species including A.a bacteria that is unique to aggressive periodontitis.

7. Cause

1) Systemic risk factor: none

2) Local risk factor: Plaques, malalignment of teeth, traumatic occlusion

8. Diagnosis

After a comprehensive examination including medical history and clinical condition,the patient was diagnosed with stage Ⅳ, grade C broad type periodontitis.

9. Treatment plan

Treatment strategy

A comprehensive treatment plan was established as follows to provide orthodontic treatment and prosthetic treatment after the periodontal tissue has improved though periodontitis treatments.

① Examination of the periodontal tissue, bacteriological examination, diagnosis

② Basic periodontal treatment (plaque control, Scaling & Root Planing: SRP,occlusal adjustment,tooth extraction,temporary splint,provisional prostheses)

③ Reevaluation testing

④ Periodontal surgery (areas with remaining PD)

⑤ Reevaluation testing

⑥ Treatment for oral function recovery (orthodontic treatment, prosthetic treatment)

⑦ Reevaluation testing

⑧ SPT (Supportive Periodontal Therapy)

Treatment plan was established as shown above and treatment began after obtaining the patient’s consent. The patient was verbally informed of future publication of this case and publication of clinical data, and consent was obtained in writing.

10. Treatment progress (Fig.2)

1) Basic periodontal treatment

The patient was explained that teeth mobility on entire jaw is not only caused by resorption of the alveolar bone but also by poor oral hygiene and thereafter began plaque control with manual toothbrush. The PCR value was as undesirable as 83.9%, and therefore, a manual toothbrush (Butler211, Sunstar Inc. Osaka) was used, and scrubbing method was taught. After improvement was shown on the labial and lingual surfaces, the patient was instructed to use an interdental brush (DENT EX® 3M, interdental brush S, M, L, Lion Corporation, Tokyo) with an appropriate size for the interproximal space of the teeth. Brushing has shown effectiveness in improving PCR value only after a significant time period due to crowded mandibular anterior teeth, asymmetries of marginal gingiva caused by malalignment of teeth with interdental diastema, uneven teeth axis inclination, gingival recession and changes in gingival position after tooth extraction. During the 14th instruction session, the PCR value declined to 18.3%, and since then has been maintaining well at a steady level with minor fluctuations.


Fig 2
(Fig.2) Treatment process


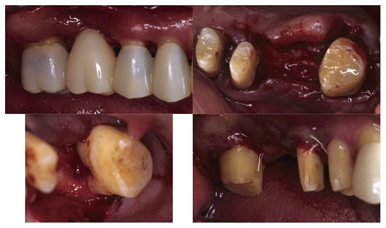
After gingival margin plaque was reduced with brushing for self-care, SRP was performed for professional care in the order of maxillary left premolar and molar, maxillary right premolar and molar, maxillary anterior teeth, mandibular premolar and molar, mandibular anterior teeth, mandibular left premolar and molar; dental calculus in the gingival margin was removed and scaling and root planning was performed to promote gingival attachment. After completion of 1 course of SRP, the remaining dental calculus in the gingival margin on the entire jaw was detectable by tactile means, and therefore, another SRP was performed on the entire jaw. Despite basic periodontal treatment, continuous attachment loss was apparent on 16 in February 2008 (age 40) , on 26 in May in the same year, on 24 in February 2009 (age 41), and on 11 in April in the same year, and therefore teeth were extracted as the diagnosis showed that the teeth were not preservable due to continuous attachment loss. In the sockets following teeth extraction, temporary prosthetic bridges were placed for 23-27 with 23, 25 and 27 as anchors, temporary prosthetic bridges with 13,14,15 and 17 as anchors, for 12-22 with 12,21 and 22 as anchors.

Focus was placed on occlusal trauma from the mid-early stage of basic periodontal treatment. To eliminate early contact and cuspal interference, reduction and occlusal adjustment were performed. Ultimately, all units were connected and each tooth was stabilized in consideration of esthetics, the extent of the breakdown of periodontal tissues surrounding adjacent teeth, and future crown prosthesis application. From June 2007, along with periodontitis treatment, treatment for infected canal began on 47, and temporary prosthesis was placed after root canal filling was completed.

2) Reevaluation testing (February 2010)

At reevaluation testing after basic periodontal treatment, the color of gingiva improved to pink, and findings showed that inflammation in the marginal gingiva with primarily blood congestion had subsided. Class 4 gingival recession (Miller’s gingival recession classification) was observed on the entire jaw. (Fig.3a). The average PD of the entire jaw was 2.8mm, maximum PD was 10.0mm, the ratio of PD of 3mm or below was 84.0%, PD of 4-6mm was 12.5%, PD of 7mm or above was 3.5% and BOP rate improved to 11.8%. However, PD of 7mm remained on 17, 10.0mm on 27, 5.0mm on 36, and 7.0mm on 46. Additionally grade 1 furcation involvement remained on the buckle and lingual side of 36, mesial distal direction on the buckle side of 17, grade 2 on the buckle side of 27. Teeth mobility was grade 1 on 44 and 46 (Fig.3b). X-ray findings showed that dental calculus was removed from the gingival margin on the maxilla and mandible. Despite the clearly visible alveolar hard line, no improvement was shown on the alveolar bone. (Fig.3c).


Fig 3a
(Fig.3a) Intraoral photo after completion of basic periodontal treatment has completed (2010.1)


Fig 3b
(Fig.3b) Reevaluation and examination after completion of basic periodontal treatment (January 2010)


Fig 3c
(Fig.3c) Dental X-ray 14 after completion of basic periodontal treatment (January 2010)


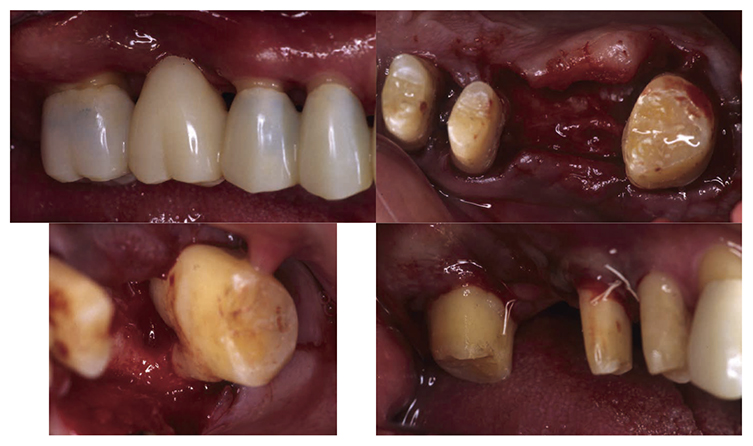
3) Periodontal surgical therapy

At the reevaluation examination after completion of basic periodontal treatment, deep periodontal pockets and grade 2 furcation involvement were observed. Therefore, in April 2010 (age 42), enamel matrix proteins were applied in a procedure for periodontal regeneration (Fig.4),and in June of the same year, gingival flap operation and distal wedge procedure were performed on 27 (Fig.5). For the remaining PD on the lingual side of 36 and 46, due to insufficient keratinized gingiva, the option was to stabilize the condition with SRP.


Fig 4
(Fig.4) Enamel matrix proteins were applied in a procedure for periodontal regeneration in the maxillary left molar (April 1, 2020)


Fig 5
(Fig.5) Gingival flap operation and distal wedge procedure were performed on the maxillary left second molar (June 2010)


4) Reevaluation testing (February 2011)

In the reevaluation testing after periodontal surgery, 4mm of PD remained on the palatal side, distally on 17 and mid-buccal area on 27. BOP was no longer present and furcation involvement improved.

5) Orthodontic treatment of mandibular anterior teeth

6 months after completion of periodontal surgical treatment, the orthodontics at this hospital began orthodontic treatment to improve the crowded mandibular anterior teeth. In October 2010 (at age 42), preoperative examination was performed, and to first improve the imbalance of the perioral muscles, MFT (Myo Functional Therapy) began. With the diagnosis of crowded mandibular anterior teeth thereafter, in December 2010, bands were attached to 36 and 46, brackets were attached to 34,33,32,31,41,42,43 and 44, and these teeth were straightened upright. Wires were adjusted every month thereafter. 1 year and 4 months after dynamic orthodontic treatment, in April 2012 (at age 44), impression was taken on the retainer, and in May 2012, canine-to-canine retainer (FSW retainer) was attached.

6) Prosthetic treatment

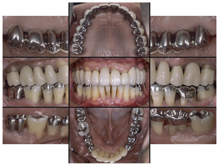
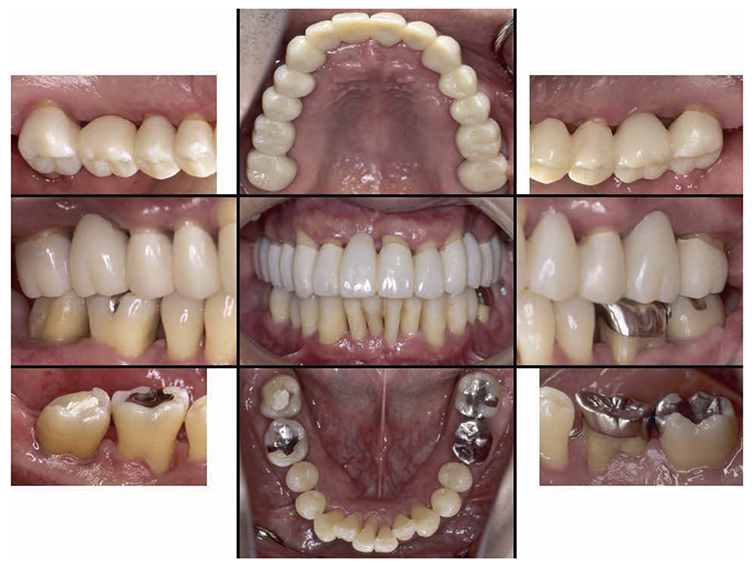
After orthodontic treatment was completed, fabrication of the final prosthesis was started.. Preliminary impression of the maxilla and mandible were taken, anatomic facebow and checkbite were obtained, and prosthetic diagnosis was performed. In the treatment plan before surgery, the first choice for the maxilla was the full mouth bridge that connects all teeth. However, since no parallelism was seen on the anchor teeth, and additionally all teeth were vital teeth, convenient pulpectomy was sought as a possibility. Additionally, in designing treatment for patients with severe periodontitis, to disperse the occlusal load to the entire jaw, which was most important, semi-fixed multi-tooth prosthetic using key and keyway attachment was designed for final prosthetic in this case. After taking parallelism of anchor teeth into consideration, multi-tooth models with attachments were designed for 13 and 14, and for 22 and 23. After deciding on the shape of prosthetics, anchor teeth were formed, impression was taken, and subsequently final confirmation was made on accurate fit with coping trial. After final prosthetic treatment on the maxilla, prosthetics were placed on the mandible starting with 47. Since metal crowns were placed on both 47 and 36, onlay-type metal crowns were placed on 44, 45, 34 and 35 for occlusal support. After completion of prosthetic treatment on all teeth, confirmation was made with an occlusal force tester (Dental Prescale®,GC, Tokyo) that occlusal force was equally distributed across the entire jaw. Additionally, nighttime bruxism was addressed by producing and applying nightguards since the patient had the habit of clenching.

7) Reevaluation testing (December 2003)

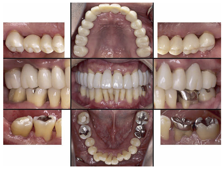
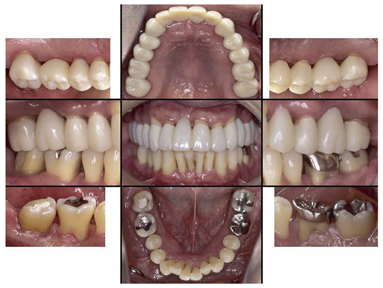
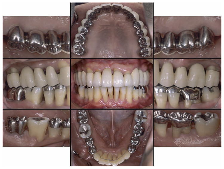
At the reevaluation examination after treatment to restore oral function, the color of gingiva was pink, and with prosthetics, intraoral harmony was replicated esthetically and functionally. (Fig.6a). The average PD across the entire jaw was 2.1mm, maximum PD was 4.0mm, the ratio of PD of 3mm or below was 99.3%, no BOP was found and the condition of the periodontal tissue was stable (Fig.6b). In the X-ray, continuity of the alveolar hard line was replicated and the sequence of bone trabeculae was normal, and therefore, the patient transitioned to the SPT phase (Fig.6c).


Fig 6a
(Fig.6a) Intraoral photo after completion of restoration of oral function was completed(2013.4)


Fig 6b
(Fig.6b) Reevaluation and examination after completion of restoration of oral function (April 2013)


Fig 6c
(Fig.6c) Digital X-ray 14 after completion of restoration of oral function (April 2013)


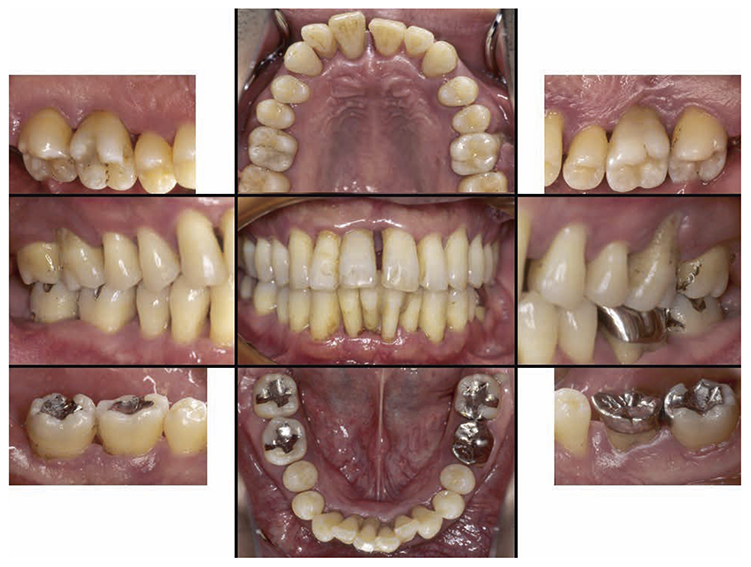
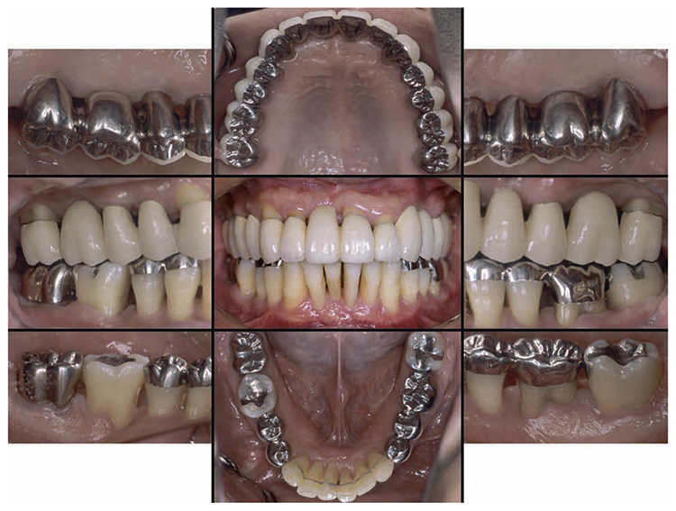
8)SPT (December 2013 onward)

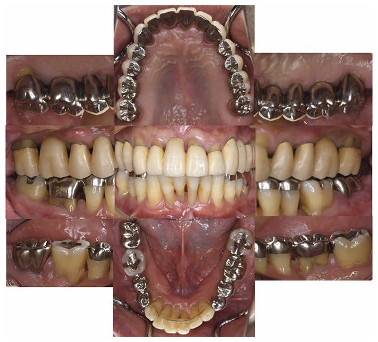
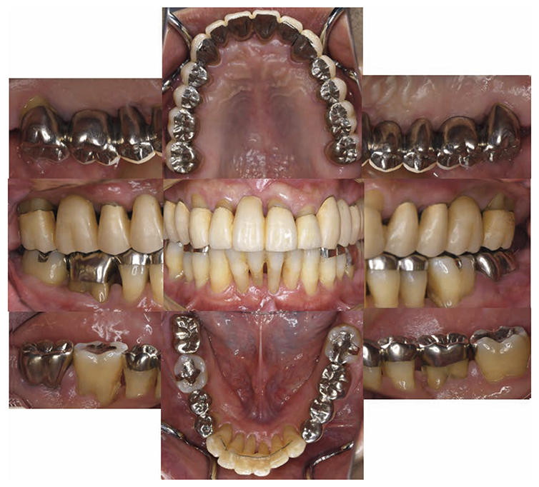
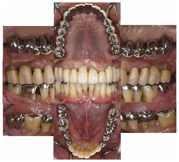
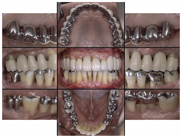
After transitioning to SPT, the patient brushed 4 times daily after every meal and before bedtime and has continued to use an interdental brush. PCR levels have been consistently in the 20% range. SPT , which primarily consists of instructions on brushing and dental surface cleaning, has been implemented every other month to present, and efforts are made to maintain and manage oral hygiene in the long term to ensure that plaque control is not insufficient. While minor discoloring is observed on the prosthetics, the color of the gingiva is salmon pink and a macroscopically healthy appearance has been sustained (Fig.7a) . The average PD on the entire jaw is 2.1mm,maximum PD is 4.0mm,the ratio of PD of 3mm or less is 99.3%. No BOP has been found and the condition of the periodontal tissue has been stable (Fig.7b). In the X-ray, continuity of the alveolar hard line has been replicated and the sequence of the bone trabeculae has been normal (Fig.7c).


Fig 7a
(Fig.7a) Intraoral photo: 15 years after first visit (December 2022)


Fig 7b
(Fig.7b) Examination for reevaluation: 15 years after first visit (December 2022)


Fig 7c
(Fig.7c) 15 years after first visit: dental X-ray 14 (December 2022)


Discussion

Periodontitis is a chronic infectious disease caused by permanent bacteria in oral cavity and at the same time, the host factors such as the defense mechanism, systemic diseases, age, and genetics, and environmental factors such as stress, smoking, drugs among other things affect the progression of lesions, and therefore, long term maintenance of the oral function is not only challenging during dynamic treatment but also after treatment. In advanced periodontitis, with the progression of lesions, progressive periodontal tissue breakdown occurs, which leads to reduced periodontal tissue support. In more than a few cases of such patients, the periodontal tissue cannot bear the chewing forces and occlusal forces that were exerted when these patients were healthy, and therefore complications such as occlusal trauma develop. In such cases, in addition to periodontitis treatment that aims to remove inflammation factors and to improve lesions, an interdisciplinary treatment that targets occlusal reconstruction for occlusal stability is needed. To this end, each of the following stages, basic periodontal treatment primarily for plaque control, periodontal surgery based on the results of reevaluation examinations, treatment for oral function restoration considering secondary occlusal trauma, and the relationship between SPT and occlusal relationship that is most important for the prognosis for long-term stability must be evaluated and addressed properly.

In this case, at the time of the first visit, the patient was 39 years old with a chief complaint of teeth mobility across the full jaw. He was a broad-type periodontitis patient and since moderate to advanced horizontal bone resorption was observed in intra-oral X-rays, removal of inflammation in the periodontal tissues,disease progression control,occlusal stability,restorative esthetics needed to be sought, and an interdisciplinary treatment including periodontitis treatment, orthodontic treatment and prosthetic treatment was needed. Additionally, to stably preserve the functionality and esthetics of the stomatognathic system that were achieved as a result of an interdisciplinary treatment, inflammations (periodontitis) and traumatic occlusion must be controlled. Therefore, supportive periodontal therapy (SPT) must be implemented continuously at appropriate intervals for each case to meet treatment goals and to maintain the patient’s well-being.

1) Diagnosis with periodontitis

The diagnosis used here as of 2023 is based on the new classification that was proposed as the new classification for periodontitis by AAP/EFP during the EuroPerio 9 meeting held in Amsterdam in June 2018. The previous categorization system is different in that periodontitis was divided into two categories, invasive periodontitis and chronic periodontitis. In the new categorization system, these categories are combined to encompass periodontitis as one disease and are grouped into stages and grades in its diagnosis framework. In this case, the probing depth (PPD) was 6mm or more at the first visit. Vertical bone resorption of 3mm or more was observed in addition to furcation lesions occurring twice. 4 teeth were ultimately extracted. However since prosthetic treatment was required on the full jaw, the patient in this case was diagnosed as stage IV and stage C as the progression rate of the grade was as high as 1.0 or above with the primary factors of bone resorption %/ age. Therefore, the patient in this case was diagnosed as stage IV, grade C under the new periodontal classification based on international standards.

2) Basic periodontal treatment

To begin basic periodontal treatment based on proper diagnosis, periodontitis is a bacterial infectious disease that produces symptoms and develops over time from inflammation in the periodontal tissue, formation of periodontal pockets and buildup of subgingival dental plaque, which are caused by proliferation of periodontal pathogens primarily comprised of Anaerobic gram-negative bacteria. Such pathogens grow from dental plaque (dental biofilm) which is a group of bacteria that increase in numbers and from dysbiosis. Taking all the above into account, one of the most essential components of long-term stability during the dynamic treatment period and after treatment is likely to be to improve dental cleaning and control inflammations with improved dental cleaning.

In advanced periodontitis however, along with alveolar bone resorption, morphological changes such as formation of deep periodontal pockets,gingival recession,and pathologic migration occur; the continuity of each tissue is broken, such areas become new plaque retention factors and cause diseases to increase in severity, and thus cause a vicious cycle to amplify one another. Fortunately, in this case, continuity of dentition was preserved without missing teeth, and plaque control was performed in a conventional matter with both, a manual toothbrush and interdental brush with the appropriate size for the interproximal space of the teeth. At the first visit, the PCR value was as undesirable as 83.9%. With the 14th brushing instructions, this value was dropped to 20% or lower. A significant time commitment was required to improve the PCR value, and the periodontal tissue responded well. Secondary occlusal trauma is a local risk factor for periodontal disease, and occlusal adjustment is necessary according to the disease status. In principle, except for first aid, occlusal adjustments in periodontally ill patients should be made after removal of inflammation. This is because tooth movement in periodontal patients may be caused and enhanced by inflammation of the periodontal ligament, and teeth may move after removal of the inflammation, resulting in another occlusal trauma. In the present case, there was severe alveolar bone resorption in all jaws, and almost all teeth had secondary occlusal trauma. In the mandibular anterior and maxillary molars where the teeth were protruding and moving, the contact points were shaved from the early stage of basic periodontal treatment to reduce the harmfulness of traumatic occlusion, and inflammation was reduced by SRP, etc. After the teeth that could not respond to the treatment were extracted and a temporary restorative appliance was installed sequentially, secondary occlusal trauma was noted and the fremitus should be checked at all times. The patient was guided by the group function from the canine to the bicuspid during the occlusal fit position and lateral movement.

3) Orthodontic Treatment

In this case, orthodontic treatment was performed during the oral functional rehabilitation phase to improve the crowding in the lower anterior teeth region. Orthodontic treatment is a highly effective therapeutic method for both aesthetic and functional improvement, even in adults. However, orthodontic treatment in adults often involves issues such as dental caries, pulp diseases, periodontal disease, and dental deficiencies. Furthermore, many adults undergoing orthodontic treatment may also have systemic diseases, requiring even greater consideration and a broad range of knowledge. When treating such patients, a deep understanding of both orthodontics and periodontics is essential. Management of periodontal tissues is necessary at all stages, from orthodontic diagnosis to evaluation of periodontal tissues during treatment, plaque control, and postoperative assessment.

If inflammation of the gums is controlled, there is research indicating that orthodontic treatment does not have a detrimental effect on periodontal tissues.11 Fixed orthodontic appliances can create barriers that compromise oral hygiene and may lead to plaque retention.12,13 However, it has been reported that comprehensive dental care during orthodontic treatment reduces adverse changes such as gum bleeding14,15 and plaque accumulation.14,16 Therefore, orthodontic treatment should only be performed when active periodontal disease is under control. Recent reports suggest a consensus that establishing and maintaining inflammation-free periodontal tissues during and after orthodontic treatment is essential.17 Additionally, it is desirable to apply light forces of 5g to 15g continuously in orthodontic treatment when the periodontal ligament is compromised.18 Thus, in orthodontic treatment for periodontal disease patients, it is important to apply appropriate orthodontic forces according to the extent of remaining periodontal tissues.

In this case, in addition to the stabilization of the condition through periodontal basic treatment, there was no progression of organic changes in the alveolar bone, such as abnormal root resorption or alveolar bone resorption, compared to the initial visit based on X-ray findings after orthodontic treatment. Furthermore, significant enlargement of the periodontal ligament space was not observed, and in some areas, there was improvement in the level of the alveolar bone, with clearer delineation of the alveolar crestal lamina dura. This is believed to be due to the appropriate orthodontic forces during treatment. During orthodontic treatment, plaque control was performed monthly in the periodontal department, and examinations for early contacts and occlusal interferences occurring during dynamic treatment were conducted, with occlusal adjustments performed if necessary. The integrated approach of orthodontics and periodontics is beneficial and can contribute to ideal qualitative, functional, and aesthetic planning, particularly in complex clinical cases, leading to optimal treatment planning.19

4)Prosthetic treatment

In selecting and designing the final prosthetic treatment for this case, mainly dentures, implants and crown bridges were considered. The patient did not choose dentures from the time temporary prosthetics were adopted during basic periodontal treatment. Implant placement for the maxilla anterior region and molar region were then considered. However, the alveolar bone mass was insufficient in all areas, and due to the need for sinus lift, bone graft, and subsequent periodontal surgery, considering the balance between alveolar bone mass of antagonistic implants, the risk of implants causing traumatic occlusion was present. Additionally, the patient did not wish to place implants due to the treatment period and finances, and therefore. implants were excluded from the options, and the decision was to proceed with designing crown bridges.

In cases in which patient’s tooth mobility is caused by significant alveolar bone resorption, and treatments are not effective after occlusal adjustment, crown shape change or temporary splints, a treatment plan is imperative to encompass temporary splints and permanent splints with a broad-spectrum periodontal treatment device. Since significant alveolar bone resorption was observed in this case, a plan was established to build fixed dental prosthesis as the final prosthesis to properly disperse the chewing load not for each individual unit but along the arch overall and to prevent overload on the anchor tooth caused by diminished periodontal support. Reports indicate that a cross-arch fixed bridge provides a degree of rigidity and can prevent overload on the anchor tooth caused by diminished support of the periodontal tissue as the chewing load is properly dispersed not for each individual unit but along the arch overall.20,21 Additionally, reports show that if contamination of the periodontal tissues are under control, an anchor tooth can provide sufficient anchorage with the original alveolar bone support of 20 – 30%.22-24

5) Maintenance and SPT

Long term follow-up reports suggest that if the periodontal tissues are stable and SPT is introduced to prevent the recurrence of periodontitis, a tooth with poor periodontal tissue support may anchor a fixed prosthesis covering a wide range,24,25 which is a vitally important factor in patient’s compliance leading to long-term success, in addition to the individualized dental recall system. These reports indicate that proper level of plaque control may be achieved and maintained not only in full mouth treatments but also in all treatment cases.26 Additionally, some literatures have concluded that long-term success rate may be achieved with patients undergoing a significant periodontal tissue loss after receiving a combination treatment of periodontitis treatment and prosthetic treatment with proper and consistent maintenance case.22 Since periodontal disease is prone to relapse, maintenance and SPT are imperative for long-term maintenance of the periodontal tissues that were cured or stabilized by periodontal treatments. In various literatures, different terminologies such as supportive periodontal care (SPC) and supportive periodontal therapy (SPT) are used.27 The Japanese Society of Periodontology however differentiates maintenance from SPT. The designated meaning of maintenance is “health monitoring” to maintain the periodontal tissues for the long term, whereas SPT is a “treatment” to maintain the periodontal tissues that are symptomatically stable.28

Long-term health of periodontal tissues and stability of dentition depends on the quality and frequency of maintenance care and SPT. Reports show that without regular maintenance and SPT, the probability of losing teeth is 5 to 6 times greater than with such care.29 Therefore, prior to periodontal treatments, the patients must be well informed and understand the objective and necessity of maintenance and SPT.30 Although visible, subgingival calculus and infected tissues are difficult to remove completely with basic periodontal treatments and periodontal surgery. If subgingival biofilms are not sufficiently removed, despite the lack of clinical symptoms, continuous attachment loss would ensue. Therefore, continuous biofilm removal is imperative after completion of APT.

The American Academy of Periodontology (AAP) sets forth the following treatment approaches in its guideline for maintenance and SPT: ① update of medical and dental histories, ② evaluation of current extra- and intraoral, periodontal and peri-implant soft tissues: ③ assessment of oral hygiene status, ④ assessment of the patient’s oral hygiene, ⑤ assessment of the periodontal tissues and risk factors, ⑥ Removal of supragingival and subgingival bacterial plaque and calculus, ⑦ Re-treatment of the disease as needed. Distinction is made from daily examinations in that after-treatment care such as thorough assessment of the periodontal tissues, assessment of risk factors, mechanical debridement of plaques and calculus deposits are included.31 Additionally, making proposals of the timing for individualized maintenance and SPT are of vital importance. An appropriate time period must be established, taking into consideration systemic diseases and patient’s compliance. During the SPT period, various factors including damages to prosthetics, tooth root fractures progression of the disease in the tooth that was once determined to be preservable, aging of the patient, outbreak of systemic disease become intricately relevant. In this case, the patient had progressive periodontitis that required particular attention, and an interdisciplinary approach, including orthodontic treatment and prosthetic treatment was taken on this patient. The SPT period was set at 2 months, during which occasional inflammation was observed in the gingiva. Owing to early interventions, the patient has been maintaining well after 10 years from SPT. With continuous SPT and early intervention of acute symptoms, anchor teeth and periodontally treated teeth are likely preservable in the long term.


The authors declare no conflicts of interest associated with this manuscript.

References

  1. 厚生労働省 令和4年歯科疾患実態調査. 4mm以上の歯周ポケットを持つ人の割合https://www.mhlw.go.jp/content/10804000/001112405.pdf
  2. Rathod SR, Kolte AP, Chintawar S: The dynamic relationship between pathological migrating teeth and periodontal disease. J Indian Soc Periodontol, 17(6): 762-4, 2013.
  3. Meetu Preet Jain,Preet Rajendra Jain,Harneet Singh Chawla, et al: Pathological tooth migration-spontaneous correction of diastema after surgical periodontal therapy: a case report. Pan Afr Med J, 41:39, 2022.
  4. Brunsvold MA: Pathologic tooth migration. J Periodontol, 76: 859-866, 2005.
  5. Lindhe J: Textbook of clinical Periodontology 2nd edition Munksagaard Copenhagen, 563-589, 1989.
  6. Kessler M: Interrelationships between orthodontics and periodntics. American Journal of Orthodontics, 70:154-172, 1976.
  7. Melsen B, Agerbaek N: Othodontics as an adjunct to rehabilitation. Periodontal 2000, 4: 148-159, 1994.
  8. Panos N Papapanou, Mariano Sanz, Nurcan Buduneli, et al: Periodontitis: Consensus report of workgroup 2 of the 2017 World Workshop on the Classification of Periodontal and Peri-Implant Diseases and Conditions. J Periodontol, 89 Suppl 1: S173-S182. 2018.
  9. Dutzan N , Kajikawa T, Abusleme L, et al: A dysbiotic microbiome triggers TH17 cells to mediate oral mucosal immunopathology in mice and humans. Sci Transl Med, 10: eaat0797, 2018.
  10. 坂本輝雄,原埼守弘,山口秀晴ほか: 包括的歯科治療を行った成人上顎前突症例. 歯科学報,104(6): 592-598,2004.
  11. Nadimpalli H, Kamath DG, Kadakampally D: Perio-ortho interactions - a review. J Pharmaceut Sci Res, 10: 1053–1056, 2018.
  12. Alexander SA: Effects of orthodontic attachments on the gingival health of permanent second molars. Am J Orthod Dentofacial Orthop, 100: 337–340, 1991.
  13. van Gastel J, Quirynen M, Teughels W, et al: Longitudinal changes in microbiology and clinical periodontal parameters after removal of fixed orthodontic appliances. Eur J Orthod, 33: 15–21, 2011.
  14. Erkan M, Pikdoken L, Usumez S: Gingival response to mandibular incisor intrusion. Am J Orthod Dentofacial Orthop, 132: 143–149, 2007.
  15. Ari-Demirkaya A, Ilhan I: Effects of relapse forces on periodontal status of mandibular incisors following orthognathic surgery. J Periodontol, 79: 2069–2077, 2008.
  16. Sinclair PM, Berry CW, Bennett CL, et al: Changes in gingiva and gingival flora with bonding and banding. Angle Orthod, 57:271–278, 1987.
  17. Erbe C, Heger S, Kasaj A, et al: Christina Orthodontic treatment in periodontally compromised patients: a systematic review. Clinical Oral Investigations, 27: 79-89, 2023.
  18. Melsen B, Agerbaek N, Markenstam G: 辺縁骨損失のある成人患者における切歯の侵入. Am J Orthod Dentofacial Orthop, 96(3):232–241, 1989.
  19. Alsulaimani L, Alqarni H, Akel M, et al: The Orthodontics-Periodontics Challenges in Integrated Treatment: A Comprehensive Review. Cureus, 15(5): e38994, 2023.
  20. Nyman S R, Lang N P: Tooth mobility and the biological rationale for splinting teeth. Periodontol 2000, 4: 15–22, 1994.
  21. Fardal O, Linden GJ: Long-term outcomes for cross-arch stabilizing bridges in periodontal maintenance patients—A retrospective study. J Clin. Periodontol, 37: 299–304, 2010.
  22. S W Yi, I Ericsson, G E Carlsson, et al: Long-term follow-up of cross-arch fixed partial dentures in patients with advanced periodontal destruction, Acta Odontol Scand, 53: 242–248, 1995.
  23. Laurell L, Lundgren D, Falk H et al: Long-term prognosis of extensive polyunit cantilevered fixed partial dentures. J Prosthet Dent, 66: 545–552, 1991.
  24. Lundgren D: Prosthetic reconstruction of dentitions seriously compromised by periodontal disease. J Clin Periodontol, 18: 390–395, 1991.
  25. D Lundgren, S Nyman, L Heijl, G E Carlsson: Functional analysis of fixed bridges on abutment teeth with reduced periodontal support. J Oral Rehabil,2(2): 105-16,1975.
  26. S Kourkouta, K W Hemmings, L Laurell: Restoration of periodontally compromised dentitions using cross-arch bridges.Principles of perio-prosthetic patient management. Br Dent J, 203: 189-95. 2007.
  27. Stefan Renvert,G. Rutger Persson: Supportive periodontal therapy. Periodontology 2000,36: 179-95, 2004
  28. 茂木美穂: メインテナンス・SPTにおける3つのポイント.日周歯,57(3): 130-133,2015
  29. Luigi Checchi,Marco Montevecchi,Maria Rosaria Antonella Gatto,et al: Retrospective study of tooth loss in 92 treated periodontal patients. J Clin Periodontol,29(7):651-6, 2002.
  30. William Becker,Burton E. Becker,Lawrence E. Berg : Periodontal Treatment Without Maintenance: A Retrospective Study in 44 Patients. J Periodontol, 55(9):505-9, 1984.
  31. Carolina Manresa, Elena C Sanz-Miralles, Joshua Twigg, et al: Supportive periodontal therapy (SPT) for maintaining the dentition in adults treated for periodontitis. Cochrane Database Syst Rev, 1(1): CD009376, 2018.
  32. MG Newman, H Takei, PR Klokkevold, et al: Newman and Carranza’s Clinical Periodontology 13th Edication.ELSEVIER.2019.

JICD,Vol.4,No.2,e001,2023

ENG / CHN / JPN / ESP

Clinical Report

广泛类型牙周炎患者跨学科治疗病例报告

A case report of interdisciplinary treatment for broad type periodontitis patient.

Yuki Ohtani 1,2) Masato Yamaguchi 3) Shuichiro Yamashita 5) Kazuhiro Yamada 5) Yasuhiro Tai 6) Ryuichi Mizutani 1) Yuki Ozaki 1) Nanae Dewake 1) Keiichi Uchida 7) Nobuo Yoshinari 1,2)

1) Department of Operative Dentistry, Endodontology and Periodontology, School of Dentistry, Matsumoto Dental University.
2) Oral Health Science, Department of Oral Health Promotion, Oral Science Course, Matsumoto Dental University Graduate School of Oral Medicine.
3) Yamaguchi Dental Clinic,Nagano,Japan.
4) Department of Removable Partial Prosthodontics, Tokyo Dental College.
5) Asunaro Pediatric Dental Clinic, Toyama, Japan.
6) Tai Dental Clinic,Kanagawa,Japan.
7) Department of Hard Tissue Research, Graduate School of Oral Medicine, Matsumoto Dental University.

Corresponding Author: Nobuo Yoshinari, D.D.S., Ph. D Phone & Fax: 0263-51-2015 E-mail: [email protected]

摘要(Abstract)

牙周炎患者的口腔功能只有在炎症得到严格控制后才能得到维持,此外,还要建立正确的垂直和水平颌位,并恢复咬合关系,这通常是在后牙错位的前牙引导下发现的。然而,晚期牙周炎的特点是牙周组织逐渐破坏,导致牙齿移动和病理性移位。因此,一旦咬合平衡被打破,就会以创伤性咬合的形式施加过大的力负荷,导致牙周组织超过其适应阈值,从而产生继发性咬合创伤,在更多的病例中,牙周组织会进一步遭到破坏。我们为一名因广义牙周炎而濒临咬合塌陷的患者制定了治疗目标,即稳定炎症和咬合。我们想介绍一个病例,该病例通过跨学科治疗团队(包括牙周病、正畸、修复治疗等专业)的治疗,取得了积极的效果,从而实现了长期稳定。患者初诊时是一名39岁的男性。他到松本牙科大学医院牙周病科就诊时,主诉是全颌牙齿移动。在被诊断为广义牙周炎导致牙齿分离和牙齿排列不齐拥挤后,进行了基础牙周治疗和牙周手术,牙周组织得到了改善。在随后的口腔功能改善治疗中,牙齿错位得到了改善,并通过正畸治疗实现了牙齿的连续性。最终,通过修复治疗,整个颌骨的咬合得以建立,从而实现了健康的口腔环境;该患者已经接受了10年的支持性牙周治疗(SPT)。

关键词(Key word):

Key words:broad type periodontitis, malalignment of teeth, prosthetic treatment, team approach, interdisciplinary treatment

简介

牙周炎是一种由口腔内感染性永久细菌引起的慢性炎症性疾病,以牙龈结缔组织和牙槽骨的破坏和吸收为特征,是一种生活习惯病,40岁以上的日本人口中约有50%的人患有这种疾病。1 牙周炎发展到一定程度后,随着病情的发展,一般会出现病理性移动和移位。有报告显示,30%-55.8%的牙周炎患者会出现牙齿病理性移位。2-4

此外,晚期牙周炎患者的牙周组织破坏也很明显。在这类患者中,有很多人的牙周组织无法承受健康时的咀嚼力和咬合力。咬合力在超过牙周组织的适应阈值后会加剧牙齿的移动,从而导致咬合创伤破坏牙周组织,并对牙周膜造成二次创伤,从而进一步加剧这类患者本已受损的口腔健康。此外,牙周组织健康患者的牙齿排列不齐和错颌畸形会导致与对侧颌骨上的牙齿咬合接触关系不良,导致咬合接触过早,侧向力过大和咬合创伤,从而对健康的牙周组织造成原发性咬合创伤。因此,牙周炎症和创伤性咬合是相互关联,相互加重的,因此,为了使口腔健康长期稳定,防止各种挑战的复发,对涉及创伤性咬合的牙周炎的咬合治疗,除了控制炎症外,还必须稳定咬合和分散咬合力。此外,晚期牙周病患者除了牙周病外,往往还患有龋齿,牙髓病,美学,颞下颌关节等复杂疾病,因此在许多情况下,他们的治疗计划需要跨学科治疗,包括多种治疗方法的组合,如冠状修复,牙髓病,正畸和修复治疗,以及由各领域专家进行的牙周炎治疗。5-7 在此,我们想介绍一个病例报告,该患者在年轻时就患上了牙周炎。经过松本齿科大学医院各科专家团队的跨学科单口治疗,该患者在长期的SPT治疗中一直保持良好的状态。

病例

患者:39岁(初诊时),男性

初次就诊:2007年6月

主诉:全颌牙齿活动度大

1.系统病史

无系统病史。

2.口腔病史

2004年左右(35岁),患者在附近的牙医处接受了几颗牙齿的龋齿治疗。在此之前,他没有任何龋齿或牙周疾病,也从未看过牙医。然而,就在同一年,他发现自己整个下颌的牙齿都在移动,于是在松本牙科大学医院(以下简称"该医院")接受了首次诊断。由于当时工作繁忙,他只接受过几次治疗和牙周袋清理。2005年(36岁),除了牙齿移动外,他开始发现牙龈出血,口臭,牙齿间有食物颗粒。2007年6月(39岁),他回到这家医院就诊,被转到牙周科。

3.家族史

父母从65岁起就一直佩戴上下全口假牙。哥哥比他大5岁,被诊断出患有牙周炎后,一直在附近的牙医处接受治疗。

4.生活方式和习惯

患者有吸烟史,20多岁时每天吸20支烟,持续了5年。他不经常喝酒,但偶尔会和同事一起喝180毫升的酒精饮料。

5.目前情况

1)全身检查结果

身高166厘米,体重64.0千克,体重指数(BMI)23.2,中等身材中等身高。

2)口腔内检查结果

(1)宏观检查结果

整个颌骨的边缘牙龈没有明显的红肿,但观察到一些充血现象。下颌和上颌前牙的牙龈形状像一个厚厚的架子。在下颌前牙和左右上颌第一磨牙的颊侧观察到明显的牙龈退缩。上颌骨和下颌骨的牙弓呈抛物线状。然而,在上颌中切牙,上颌右中切牙和侧切牙,上颌右犬齿和第一前磨牙,上颌左犬齿和第一前磨牙之间观察到牙齿分离,下颌中切牙观察到拥挤(图1a)。

(2)牙周组织检查

初诊时,全颌的平均探诊深度(PD)为4.5毫米,最大探诊深度为10.0毫米,43.5%的人探诊深度为3毫米或以下,38.7%的人探诊深度为4-6毫米,17.9%的人探诊深度为7毫米或以上。全颌的平均探针出血量(BOP)为42.3%,牙齿活动度在17,22,23,32,33,41,46中为1级,在11,12,21中为2级,在16,24,26,31中为3级(Miller分级),首次就诊时的牙菌斑评分(O'Leary牙菌斑控制记录:PCR值)为83.9%,表明口腔卫生状况不佳(图1b)。

(3)X射线检查结果

首次就诊时,X光检查结果显示,整个下颌的水平牙槽骨中度至晚期吸收,24,36,46,47号牙槽骨晚期垂直吸收。此外,46,47号牙槽骨放射线透亮,可能与沟槽受累有关,16,11,26号牙槽骨放射线透亮区域位于根尖周围。此外,在47号病例的远端,放射线显示龋坏延伸至牙髓(图1c)。


Fig 1a
图1a)Intraoral photo taken during first visit (June 2007)


Fig 1b
图1b)Results of periodontal tissue examination during first visit (June 2007)


Fig 1c
图1c)Dental X-ray 14 during first visit (June 2007)


6.细菌抗体检测

进行牙周病细菌抗体检测(DEMECAL®,Leisure Inc.,东京)。餐后3小时空腹从指尖抽血。对4种细菌(A.a菌(放线菌),P.g菌(牙龈卟啉菌),P.i菌(中间普雷沃菌),E.c菌(腐蚀性埃希菌))的抗体检测结果显示,包括侵袭性牙周炎特有的A.a菌在内,4种细菌的抗体滴度均未上升。

7.病因

1)全身风险因素:无

2)局部危险因素:牙菌斑,牙齿排列不齐,外伤性咬合

8.诊断

经过包括病史和临床情况在内的全面检查,患者被诊断为Ⅳ期C级广泛类型牙周炎。

9.治疗计划

治疗策略

通过牙周炎治疗,牙周组织得到改善后,再进行正畸治疗和修复治疗,制定了如下综合治疗方案。

① 牙周组织检查,细菌学检查,诊断

② 基本牙周治疗(菌斑控制,洗牙和根管规划:SRP,咬合调整,拔牙,临时夹板,临时修复体)

③ 重新评估测试

④ 牙周手术(残留PD的区域)

⑤ 重新评估测试

⑥ 口腔功能恢复治疗(正畸治疗,修复治疗)

⑦重新评估测试

⑧SPT(支持性牙周治疗)

如上图所示,制定了治疗计划,并在征得患者同意后开始治疗。口头告知患者今后将发表本病例和临床数据,并以书面形式征得患者同意。

10.治疗进度(图2)

1)基本牙周治疗

向患者解释整个下颌的牙齿移动不仅是牙槽骨吸收造成的,也是口腔卫生不良造成的,随后开始用手动牙刷控制牙菌斑。由于PCR值高达83.9%,因此使用了手动牙刷(Butler211,大阪Sunstar公司),并传授了刷洗方法。在唇面和舌面的情况有所改善后,指导患者使用牙间刷(DENTEX® 3M,牙间刷S,M,L,Lion公司,东京),牙间刷的大小要适合牙齿的近端间隙。由于下颌前牙拥挤,牙齿排列不齐造成的边缘牙龈不对称以及牙间隙,牙轴倾斜度不均,牙龈退缩和拔牙后牙龈位置的变化,刷牙只在相当长的一段时间后才显示出改善PCR值的效果。在第14次教学中,PCR值降至18.3%,此后一直保持在一个稳定的水平,略有波动。


Fig 2
图2)Treatment process


在通过刷牙减少龈缘牙菌斑进行自我护理后,按照上颌左前磨牙和臼齿,上颌右前磨牙和臼齿,上颌前牙,下颌前磨牙和臼齿,下颌前牙,下颌左前磨牙和臼齿的顺序进行SRP专业护理;清除龈缘的牙结石,并进行洗牙和根面规划,以促进牙龈附着。在完成一个疗程的SRP治疗后,通过触觉手段可以检测到整个颌骨龈缘内残留的牙结石,因此又对整个颌骨进行了一次SRP治疗。尽管进行了基本的牙周治疗,但在2008年2月(40岁)有16号牙齿,同年5月有26号牙齿,2009年2月(41岁)有24号牙齿以及同年4月有11号牙齿出现了持续性附着丧失,因此进行了拔牙,因为诊断结果显示这些牙齿因持续性附着丧失而无法保留。在拔牙后的牙槽中,为23-27号牙齿安装了临时修复桥,以23,25和27号牙齿为固定点,为13,14,15和17号牙齿安装了临时修复桥,为12-22号牙齿安装了临时修复桥,以12,21和22号牙齿为固定点。

从牙周基础治疗的中早期阶段开始,重点就放在了咬合创伤上。为了消除早期接触和尖牙干扰,进行了减小和咬合调整。最后,考虑到美观,邻牙周围牙周组织的破坏程度以及将来冠修复的应用,对所有单位进行了连接,并稳定了每颗牙齿。从2007年6月起,在治疗牙周炎的同时,开始对47号牙进行感染性根管治疗,并在根管充填完成后安装临时义齿。

2)重新评估测试(2010年2月)

在基础牙周治疗后的重新评估测试中,牙龈的颜色改善为粉红色,检查结果显示,边缘牙龈的炎症,主要表现为血液淤积,已经减轻。整个下颌观察到4级牙龈退缩(米勒氏牙龈退缩分类)(见图3a)。整个下颌的平均牙周袋深度(PD)为2.8mm,最大PD为10.0mm,PD为3mm或以下的比例为84.0%,PD为4-6mm的比例为12.5%,PD为7mm或以上的比例为3.5%,BOP(出血点)率改善至11.8%。然而,17号牙保持7mm的PD,27号牙保持10.0mm的PD,36号牙保持5.0mm的PD,46号牙保持7.0mm的PD。此外,36号牙的颊侧和舌侧保持1级根分叉涉及,17号牙的颊侧近中远方向保持1级涉及,27号牙的颊侧保持2级涉及。44号和46号牙的牙齿活动度为1级(见图3b)。X光结果显示,上颌和下颌的牙龈缘已去除牙石。尽管牙槽骨硬线清晰可见,但牙槽骨没有显示改善(见图3c)。


Fig 3a
图3a)Intraoral photo after completion of basic periodontal treatment has completed (2010.1)


Fig 3b
图3b)Reevaluation and examination after completion of basic periodontal treatment (January 2010)


Fig 3c
图3c)Dental X-ray 14 after completion of basic periodontal treatment (January 2010)


3)牙周手术治疗

在完成基础牙周治疗后的重新评估检查中,观察到深度牙周袋和2级根分叉涉及。因此,于2010年4月(42岁),进行了釉质基质蛋白应用的牙周再生手术(见图4),同年6月,对27号牙进行了牙龈瓣手术和远侧楔形切除术(见图5)。对于36号和46号牙舌侧残留的牙周袋,由于角化牙龈不足,选择了通过SRP稳定状况。


Fig 4
图4)Enamel matrix proteins were applied in a procedure for periodontal regeneration in the maxillary left molar (April 1, 2020)


Fig 5
图5)Gingival flap operation and distal wedge procedure were performed on the maxillary left second molar (June 2010)


4)重新评估测试(2011年2月)

在牙周手术后的重新评估测试中,腭侧,17号牙远端和27号牙中颊区域仍残留4mm的牙周袋深度。不再出现BOP(出血点)现象,并且根分叉涉及情况得到改善。

5)下颌前牙正畸治疗

在完成牙周手术治疗6个月后,该医院正畸科开始进行正畸治疗,以改善下颌前牙拥挤的情况。2010年10月(42岁),进行了术前检查,为了首先改善口周肌肉的不平衡,开始了MFT(肌功能疗法)。之后诊断为下颌前牙拥挤,于2010年12月在36和46号牙上安装了矫治带,在34,33,32,31,41,42,43和44号牙上安装了托槽,并对这些牙齿进行了直立矫正。此后每个月调整一次钢丝。动态正畸治疗1年4个月后,于2012年4月(44岁)在保持器上取模,并于2012年5月安装了犬齿对犬齿保持器(FSW保持器)。

6)修复治疗

正畸治疗结束后,开始制作最终的修复体。通过采集上颌和下颌轮廓印模,面弓转移和检查咬合来进行修复诊断。在术前治疗计划中,上颌修复治疗的首选是连接所有牙齿的全口桥,但由于基牙没有显示出平行度,而且都是活牙,为了方便起见,推断有可能进行牙髓拔除手术。为了分散整个颌骨的咬合负荷(这一点在考虑对严重牙周炎患者进行修复治疗时尤为重要),该病例上颌的最终修复治疗设计为使用键槽连接的半固定连接。换句话说,考虑到基牙的平行度,在13和14以及22和23之间设计了一个连接机制。在确定了修复体的形态后,对基牙进行了成形,印模,并通过牙合确认了最终的密合度。上颌的最终修复治疗结束后,下颌的修复治疗从47号牙开始,在47号牙和36号牙上安装全金属冠,在44号牙,45号牙,34号牙和35号牙上安装中继型金属冠,以支撑咬合面。在完成所有牙齿的修复治疗后,用咬合力测量仪(Dental Prescale®,GC,东京)确认所有颌骨的咬合力均匀。医生为她制作并安装了夜用护齿器,以解决她夜间磨牙的问题。

7)再评估检查(2003年12月)

在恢复口腔功能治疗后的重新评估检查中,牙龈的颜色呈粉红色,并且通过义齿,在口内美学和功能上实现了内部和谐(见图6a)。整个下颌的平均牙周袋深度(PD)为2.1mm,最大PD为4.0mm,PD为3mm或以下的比例为99.3%,没有发现BOP(出血点),牙周组织的状况稳定(见图6b)。在X光片上,牙槽骨硬线的连续性得到了复制,骨小梁的序列正常,因此患者进入了维持期治疗阶段(见图6c)。


Fig 6a
图6a)Intraoral photo after completion of restoration of oral function was completed(2013.4)


Fig 6b
图6b)Reevaluation and examination after completion of restoration of oral function (April 2013)


Fig 6c
图6c)Digital X-ray 14 after completion of restoration of oral function (April 2013)


8)SPT(2013年12月起)

在过渡到SPT之后,患者每天在餐后和睡前刷牙四次,并继续使用牙间刷;PCR水平始终保持在20%的范围内,但为了防止牙菌斑控制不充分,至今每两个月进行一次SPT,主要包括刷牙指导和洁牙,以维护和管理长期的口腔环境。患者的口腔环境得到了长期的维护和管理。虽然在修复体上观察到一些染色,但牙龈呈鲑鱼粉色,保持了健康的牙龈状态(图7a)。整个下颌的平均PD为2.1毫米,最大PD为4.0毫米,PD在3毫米以下的比例为99.3%,牙周组织状况稳定,无BOP(图7b)。从影像学角度看,牙槽硬线的连续性得以保持,骨梁排列正常(图7c)。


Fig 7a
图7a)Intraoral photo: 15 years after first visit (December 2022)


Fig 7b
图7b)Examination for reevaluation: 15 years after first visit (December 2022)


Fig 7c
图7c)15 years after first visit: dental X-ray 14 (December 2022)


讨论

牙周炎是一种由口腔内永久性细菌引起的慢性感染性疾病,同时,宿主因素如防御机制,全身性疾病,年龄,遗传等,以及环境因素如压力,吸烟,药物等都会影响病变的进展,因此,口腔功能的长期维护不仅在动态治疗过程中,在治疗后也面临挑战。在晚期牙周炎中,随着病变的发展,牙周组织会发生进行性破坏,导致牙周组织支持力下降。在此类患者中,牙周组织无法承受健康时的咀嚼力和咬合力的情况不在少数,因此出现了咬合创伤等并发症。在这种情况下,除了以消除炎症因素和改善病变为目的的牙周炎治疗外,还需要以咬合重建为目标的跨学科治疗,以实现咬合稳定。为此,必须对以下各个阶段进行评估和妥善处理:以控制牙菌斑为主的基本牙周治疗,根据再评估检查结果进行的牙周手术,考虑到继发性咬合创伤的口腔功能恢复治疗,以及对长期稳定性预后最为重要的SPT与咬合关系之间的关系。

在本病例中,患者首次就诊时39岁,主诉为全颌牙齿移动。他是一名广义牙周炎患者,由于口内X光片观察到中晚期水平骨吸收,因此需要消除牙周组织炎症,控制疾病进展,保持口腔稳定,恢复美观,并进行包括牙周炎治疗,正畸治疗和修复治疗在内的跨学科治疗。此外,为了稳定地保持口颌系统的功能和美观,必须控制炎症(牙周炎)和外伤性咬合。因此,必须在每个病例的适当时间间隔内持续实施支持性牙周治疗(SPT),以实现治疗目标并保持患者的健康。

1)牙周炎诊断

这里使用的截至2023年的诊断依据是2018年6月在阿姆斯特丹举行的EuroPerio 9会议期间,AAP/EFP提出的牙周炎新分类法。与以往的分类系统不同的是,牙周炎被分为两类,即侵袭性牙周炎和慢性牙周炎。在新的分类系统中,这些类别被合并为牙周炎这一疾病,并在其诊断框架中分为不同的阶段和等级。在这个病例中,首次就诊时探诊深度(PPD)为6毫米或以上。除了两次出现龈沟病变外,还观察到垂直骨吸收达到或超过3毫米。最终拔除了4颗牙齿。然而,由于需要对全颌骨进行修复治疗,该病例中的患者被诊断为IV期和C期,因为骨吸收%/年龄是主要因素,其等级进展率高达1.0或以上。因此,根据基于国际标准的新牙周病分类法,本例患者被诊断为IV期C级。

2)基础牙周治疗

牙周炎是一种细菌感染性疾病,由牙周组织炎症,牙周袋的形成和龈下牙菌斑的堆积引起症状,并随着时间的推移而发展,牙周炎的病原体主要是革兰氏阴性菌。这些病原体是从牙菌斑(牙生物膜)中生长出来的,而牙菌斑是一组数量增加的细菌,也是菌群失调造成的。综上所述,在动态治疗期间和治疗后,长期稳定的最基本要素之一可能是改善牙齿清洁,通过改善牙齿清洁来控制炎症。然而,在晚期牙周炎中,随着牙槽骨的吸收,会出现深牙周袋的形成,牙龈退缩,病理性移位等形态学改变,各组织的连续性被破坏,这些区域成为新的菌斑滞留因素,导致疾病加重,从而造成恶性循环,相互放大。幸运的是,在这个病例中,牙齿的连续性得以保留,没有缺失牙,牙菌斑的控制是按照常规方法进行的,既使用了手动牙刷,也使用了牙间刷,牙间刷的大小适合牙齿的近端间隙。首次就诊时,PCR值为83.9%。在第14次刷牙指导后,该值降至20%或更低。改善PCR值需要大量的时间,而牙周组织的反应良好。此后,通过正畸治疗,牙齿排列不齐的情况有所改善,口腔卫生的改善以及口腔环境的持续维护和管理很可能带来了良好的效果。

次级咬合创伤是牙周疾病的局部风险因素,根据疾病状态需要进行咬合调整。原则上,在救急除外的情况下,应在牙周病患者去炎后进行咬合调整。这是因为牙周病患者的牙齿移动可能是由于牙周韧带的炎症引起和增强的,去炎后牙齿可能会移动,导致另一种咬合创伤。在本例中,所有颌骨中都有严重的牙槽骨吸收,几乎所有牙齿都有次级咬合创伤。在下颌前牙和上颌磨牙,牙齿突出并移动,从基本的牙周治疗早期开始就会削减接触点,以减少创伤性咬合的危害,并通过SRP等减少炎症。在那些无法应对治疗的牙齿被拔除并逐步安装临时修复器后,应注意次级咬合创伤,并始终检查游离。在咬合适位和侧向移动期间,患者由犬齿引导至双尖牙。

3)正畸治疗

在这个病例中,进行了正畸治疗,以改善下颌前牙拥挤的情况。对于成年人来说,正畸治疗是改善牙齿美观和功能的一种非常有效的治疗方法。然而,在许多情况下,成人正畸治疗涉及携带,牙髓疾病,牙周炎和牙齿缺失,此外,对于患有全身性疾病的患者,还需要更多的关注和多学科的知识。10 治疗这类患者需要正畸学和牙周病学方面的深厚知识。从正畸诊断,牙周组织评估,治疗期间的牙菌斑控制到术后评估,治疗的每个阶段都必须对牙周组织进行管理。一些研究结果表明,如果牙龈炎症得到控制,正畸治疗不会对牙周组织造成不良影响。11 固定矫治器增加了口腔卫生不良导致牙菌斑堆积的可能性。12,13 然而,有报告显示,如果在正畸治疗期间实施跨学科牙科护理,牙龈出血14-15和牙菌斑堆积14-16等不良变化将会减少。因此,只有在活动性牙周炎得到控制的情况下才能进行正畸。在最近的一份报告中,人们已经达成了共识,即在正畸治疗期间和之后,必须不折不扣地建立和维护牙周组织。17 此外,有观点认为,在牙周膜受损的情况下,最好在正畸治疗中持续施加低至5g-15g的负荷。18 因此,根据剩余牙周组织的状况对其施加适当的正畸力是牙周病患者正畸治疗不可或缺的一部分。

在该病例中,不仅基本的牙周治疗使病情趋于稳定,而且从X射线检查结果来看,牙槽骨的器质性改变--异常牙根吸收和牙槽骨吸收在正畸治疗后与初诊相比没有进展。此外,牙周韧带间隙未见明显增宽,部分牙槽骨有所改善,牙槽嵴明显出现牙槽硬线。这可能是由于在正畸治疗中使用了适当的正畸力。在正畸治疗期间,每月对牙菌斑控制,积极治疗期间发生的早期接触,牙周尖牙干扰进行检查,并根据需要进行咬合调整。正畸科和牙周科的综合治疗方法非常有效,有助于规划理想的质量,功能和美学,从而为每个病例制定最合适的治疗方案。19

4)修复治疗

在为该病例选择和设计最终修复治疗方案时,主要考虑了假牙,种植体和冠桥。患者在牙周基础治疗时就没有选择假牙,而是采用了临时修复体。随后,考虑在上颌前区和磨牙区植入种植体。然而,由于所有区域的牙槽骨量都不足,而且需要进行上颌窦提升,植骨和后续的牙周手术,考虑到拮抗种植体的牙槽骨量之间的平衡,种植体造成创伤性咬合的风险是存在的。此外,由于治疗周期和经济原因,患者不希望植入种植体,因此种植体被排除在备选方案之外,决定继续设计牙冠牙桥。如果患者的牙齿移动是由于牙槽骨严重吸收造成的,而经过咬合调整,牙冠形状改变或临时夹板后治疗效果不佳,那么治疗方案就必须包括临时夹板和永久夹板,并使用广谱牙周治疗仪。由于在这个病例中观察到了明显的牙槽骨吸收,因此我们制定了一个计划,将固定义齿作为最终的修复体,以适当分散咀嚼负荷,而不是分散每个单个义齿的负荷,而是分散整个牙弓的负荷,并防止因牙周支持减弱而导致锚牙负荷过重。报告显示,跨拱固定桥提供了一定程度的刚性,可以防止因牙周组织支持力减弱而导致锚牙负荷过重,因为咀嚼负荷不是被适当分散到每个单体上,而是沿着牙弓整体分散。20-21 此外,有报告显示,如果牙周组织的污染得到控制,锚牙可以在原有牙槽骨支持20-30%的情况下提供足够的锚固力。22-24

5)维护和SPT

长期随访报告表明,如果牙周组织稳定,并采用SPT预防牙周炎复发,牙周组织支持较差的牙齿可以在很大范围内固定修复体,24,25 除了个性化的牙齿召回系统外,这是患者依从性导致长期成功的一个极其重要的因素。这些报告表明,不仅在全口治疗中,而且在所有治疗病例中,都可以达到并保持适当的菌斑控制水平。26 此外,一些文献认为,牙周炎患者在接受牙周炎治疗和修复体治疗的综合治疗后,牙周组织严重缺损的患者也可以获得长期的成功。22 由于牙周病容易复发,因此,为了长期保持通过牙周治疗治愈或稳定的牙周组织,必须进行维护和SPT。在各种文献中,使用了不同的术语,如支持性牙周护理(SPC)和支持性牙周治疗(SPT)。27 然而,日本牙周病学会将维护与SPT区分开来。维护的指定含义是"健康监测",以长期保持牙周组织,而SPT是"治疗",以保持症状稳定的牙周组织。28

牙周组织的长期健康和牙齿的稳定性取决于维护护理和SPT的质量和频率。有报告显示,如果没有定期维护和SPT,牙齿脱落的几率是有此类护理的5到6倍。29 因此,在进行牙周治疗之前,患者必须充分了解并理解维护和SPT的目的和必要性。30 龈下结石和感染组织虽然可见,但很难通过基本牙周治疗和牙周手术彻底清除。如果龈下生物膜没有被充分清除,尽管没有临床症状,也会导致附着丧失。因此,在完成APT后,必须持续清除生物膜。

作为维护和SPT期间的治疗项目,美国牙周病学会(AAP)在其维护和SPT指南中规定了以下治疗方法:①更新病史和牙史;②评估当前的口内外,牙周和种植体周围软组织:评估口腔卫生状况;④评估患者的口腔卫生;⑤评估牙周组织和危险因素;⑥清除龈上,龈下细菌菌斑和牙结石;⑦根据需要对疾病进行再治疗。与日常检查的区别在于治疗后的护理,如彻底评估牙周组织,评估风险因素,机械清除牙菌斑和牙结石沉积物。31 此外,提出个性化维护和SPT的时间建议也至关重要。考虑到全身性疾病和患者的依从性,必须确定一个适当的时间段。在SPT期间,各种因素,包括修复体的损坏,牙根骨折,曾被确定为可保存的牙齿的疾病进展,患者的衰老,全身性疾病的爆发等,都会变得错综复杂。在本病例中,患者患有进行性牙周炎,需要特别注意,因此对该患者采取了包括正畸治疗和修复治疗在内的跨学科方法。SPT期定为2个月,期间偶尔观察到牙龈发炎。由于采取了早期干预措施,该患者在SPT10年后一直保持良好状态。通过持续的SPT和对急性症状的早期干预,锚牙和经过牙周治疗的牙齿很可能可以长期保存。

作者声明与本稿件无利益冲突。

参考文献

  1. 厚生労働省 令和4年歯科疾患実態調査. 4mm以上の歯周ポケットを持つ人の割合https://www.mhlw.go.jp/content/10804000/001112405.pdf
  2. Rathod SR, Kolte AP, Chintawar S: The dynamic relationship between pathological migrating teeth and periodontal disease. J Indian Soc Periodontol, 17(6): 762-4, 2013.
  3. Meetu Preet Jain,Preet Rajendra Jain,Harneet Singh Chawla, et al: Pathological tooth migration-spontaneous correction of diastema after surgical periodontal therapy: a case report. Pan Afr Med J, 41:39, 2022.
  4. Brunsvold MA: Pathologic tooth migration. J Periodontol, 76: 859-866, 2005.
  5. Lindhe J: Textbook of clinical Periodontology 2nd edition Munksagaard Copenhagen, 563-589, 1989.
  6. Kessler M: Interrelationships between orthodontics and periodntics. American Journal of Orthodontics, 70:154-172, 1976.
  7. Melsen B, Agerbaek N: Othodontics as an adjunct to rehabilitation. Periodontal 2000, 4: 148-159, 1994.
  8. Panos N Papapanou, Mariano Sanz, Nurcan Buduneli, et al: Periodontitis: Consensus report of workgroup 2 of the 2017 World Workshop on the Classification of Periodontal and Peri-Implant Diseases and Conditions. J Periodontol, 89 Suppl 1: S173-S182. 2018.
  9. Dutzan N , Kajikawa T, Abusleme L, et al: A dysbiotic microbiome triggers TH17 cells to mediate oral mucosal immunopathology in mice and humans. Sci Transl Med, 10: eaat0797, 2018.
  10. 坂本輝雄,原埼守弘,山口秀晴ほか: 包括的歯科治療を行った成人上顎前突症例. 歯科学報,104(6): 592-598,2004.
  11. Nadimpalli H, Kamath DG, Kadakampally D: Perio-ortho interactions - a review. J Pharmaceut Sci Res, 10: 1053–1056, 2018.
  12. Alexander SA: Effects of orthodontic attachments on the gingival health of permanent second molars. Am J Orthod Dentofacial Orthop, 100: 337–340, 1991.
  13. van Gastel J, Quirynen M, Teughels W, et al: Longitudinal changes in microbiology and clinical periodontal parameters after removal of fixed orthodontic appliances. Eur J Orthod, 33: 15–21, 2011.
  14. Erkan M, Pikdoken L, Usumez S: Gingival response to mandibular incisor intrusion. Am J Orthod Dentofacial Orthop, 132: 143–149, 2007.
  15. Ari-Demirkaya A, Ilhan I: Effects of relapse forces on periodontal status of mandibular incisors following orthognathic surgery. J Periodontol, 79: 2069–2077, 2008.
  16. Sinclair PM, Berry CW, Bennett CL, et al: Changes in gingiva and gingival flora with bonding and banding. Angle Orthod, 57:271–278, 1987.
  17. Erbe C, Heger S, Kasaj A, et al: Christina Orthodontic treatment in periodontally compromised patients: a systematic review. Clinical Oral Investigations, 27: 79-89, 2023.
  18. Melsen B, Agerbaek N, Markenstam G: 辺縁骨損失のある成人患者における切歯の侵入. Am J Orthod Dentofacial Orthop, 96(3):232–241, 1989.
  19. Alsulaimani L, Alqarni H, Akel M, et al: The Orthodontics-Periodontics Challenges in Integrated Treatment: A Comprehensive Review. Cureus, 15(5): e38994, 2023.
  20. Nyman S R, Lang N P: Tooth mobility and the biological rationale for splinting teeth. Periodontol 2000, 4: 15–22, 1994.
  21. Fardal O, Linden GJ: Long-term outcomes for cross-arch stabilizing bridges in periodontal maintenance patients—A retrospective study. J Clin. Periodontol, 37: 299–304, 2010.
  22. S W Yi, I Ericsson, G E Carlsson, et al: Long-term follow-up of cross-arch fixed partial dentures in patients with advanced periodontal destruction, Acta Odontol Scand, 53: 242–248, 1995.
  23. Laurell L, Lundgren D, Falk H et al: Long-term prognosis of extensive polyunit cantilevered fixed partial dentures. J Prosthet Dent, 66: 545–552, 1991.
  24. Lundgren D: Prosthetic reconstruction of dentitions seriously compromised by periodontal disease. J Clin Periodontol, 18: 390–395, 1991.
  25. D Lundgren, S Nyman, L Heijl, G E Carlsson: Functional analysis of fixed bridges on abutment teeth with reduced periodontal support. J Oral Rehabil,2(2): 105-16,1975.
  26. S Kourkouta, K W Hemmings, L Laurell: Restoration of periodontally compromised dentitions using cross-arch bridges.Principles of perio-prosthetic patient management. Br Dent J, 203: 189-95. 2007.
  27. Stefan Renvert,G. Rutger Persson: Supportive periodontal therapy. Periodontology 2000,36: 179-95, 2004
  28. 茂木美穂: メインテナンス・SPTにおける3つのポイント.日周歯,57(3): 130-133,2015
  29. Luigi Checchi,Marco Montevecchi,Maria Rosaria Antonella Gatto,et al: Retrospective study of tooth loss in 92 treated periodontal patients. J Clin Periodontol,29(7):651-6, 2002.
  30. William Becker,Burton E. Becker,Lawrence E. Berg : Periodontal Treatment Without Maintenance: A Retrospective Study in 44 Patients. J Periodontol, 55(9):505-9, 1984.
  31. Carolina Manresa, Elena C Sanz-Miralles, Joshua Twigg, et al: Supportive periodontal therapy (SPT) for maintaining the dentition in adults treated for periodontitis. Cochrane Database Syst Rev, 1(1): CD009376, 2018.
  32. MG Newman, H Takei, PR Klokkevold, et al: Newman and Carranza’s Clinical Periodontology 13th Edication.ELSEVIER.2019.

JICD,Vol.5,No.1,e003,2024

ENG / CHN / JPN / ESP

Clinical Report

包括的治療を施行した広汎型歯周炎の1症例

A case report of interdisciplinary treatment for broad type periodontitis patient.

大谷有希 1,2) 山口正人 3) 山下秀一郎 4) 山田一尋 6) 田井康寛 6) 水谷隆一 1) 尾﨑友輝 1) 出分菜々衣 1) 内田啓一 7) 吉成伸夫 1,2)

Yuki Ohtani 1,2) Masato Yamaguchi 3) Shuichiro Yamashita 4) Kazuhiro Yamada 5) Yasuhiro Tai 6) Ryuichi Mizutani 1) Yuki Ozaki 1) Nanae Dewake 1) Keiichi Uchida 7) Nobuo Yoshinari 1,2)

1)松本歯科大学歯科保存学講座(歯周)
2)松本歯科大学大学院歯学独立研究科健康増進口腔科学講座 口腔健康分析学
3)やまぐち歯科クリニック
4)東京歯科大学パーシャルデンチャー補綴学講座
5)あすなろ小児歯科医院矯正歯科
6)田井歯科クリニック
7)松本歯科大学大学院歯学独立研究科硬組織疾患制御再建学講座 臨床病態評価学

1) Department of Operative Dentistry, Endodontology and Periodontology, School of Dentistry, Matsumoto Dental University.
2) Oral Health Science, Department of Oral Health Promotion, Oral Science Course, Matsumoto Dental University Graduate School of Oral Medicine.
3) Yamaguchi Dental Clinic,Nagano,Japan.
4) Department of Removable Partial Prosthodontics, Tokyo Dental College.
5) Asunaro Pediatric Dental Clinic, Toyama, Japan.
6) Tai Dental Clinic,Kanagawa,Japan.
7) Department of Hard Tissue Research, Graduate School of Oral Medicine, Matsumoto Dental University.

責任著者連絡先:吉成伸夫
 〒399-0781 長野県塩尻市広丘郷原1780 松本歯科大学歯科保存学講座(歯周) Phone & Fax: 0263-51-2015 E-mail: [email protected]

抄録(Abstract)

歯周病患者の口腔機能維持は,厳密な炎症のコントロールとともに,適切な垂直的・水平的顎位,アンテリアガイダンスによる臼歯離開咬合に代表される咬合関係が回復できてはじめて維持される.しかし,重度の歯周炎に罹患すると,歯周組織破壊が高度に進行することから歯の動揺や病的移動が生じる.その結果,咬合のバランスが崩壊することで,歯周組織の適応能力を超えた過度な負荷が外傷性咬合として作用し,二次性咬合性外傷の状態となって,さらなる歯周組織破壊の増強をきたしていることが少なくない.

今回我々は,咬合崩壊直前の広汎型歯周炎患者に対して,炎症と咬合の安定を治療のゴールに設定し,歯周病,矯正,補綴治療を各診療科のチームアプローチによる包括的治療を施行することにより良好な結果を得ることでき,長期にわたって安定している症例を報告する.

患者は,初診時39歳,男性で,全顎的な歯の動揺を主訴に松本歯科大学病院歯周病科に来科された.歯間離開および叢生の歯列不正を伴う広汎型歯周炎の診断下,歯周基本治療,歯周外科治療を施行し歯周組織の改善を得た.その後,口腔機能回復治療として,矯正治療による歯列不正の改善,歯列の連続性を獲得した.最終的に,全顎的な補綴治療により咬合が確立し,良好な口腔内環境を得ることができた.現在サポーティブペリオドンタルセラピー(Supportive Periodontal Therapy: SPT)に入り10年が経過している.

キーワード:広汎型歯周炎,歯列不正,補綴治療, チームアプローチ,包括的治療

Key words:broad type periodontitis, malalignment of teeth, prosthetic treatment, team approach, interdisciplinary treatment

緒言

歯周炎は口腔常在細菌の歯肉への感染による慢性炎症性疾患であり,歯肉結合組織や歯槽骨の破壊,吸収を特徴とする疾患で,40歳以上の日本人の約50%が罹患している生活習慣病でもある.1 一般的に歯周炎が進行すると,その程度に応じて歯の病的動揺や移動が生じる.実際,歯周炎患者では30~55.8%の割合で病的な歯の移動が認められると報告されている.2-4 また,進行した歯周炎患者では,歯周組織破壊が著明となり,健常時に適応できていた咀嚼力や咬合力に対して歯周組織が負担できなくなることが少なくない.歯周組織が適応できる許容を超えた咬合力は動揺を増している歯に対し,歯周組織を破壊する外傷性咬合として作用する.これは歯根膜にとって二次性咬合性外傷として作用し,さらなる病状の悪化をきたす.また,歯周組織が健全な場合でも,歯列不正や不正咬合が存在すると,対合関係にある歯との咬合接触関係が不正となり,早期接触,不要な側方力,外傷性咬合として作用し,健全な歯周組織においても一次性咬合性外傷を引き起こす.このことから,炎症としての歯周病と外傷としての咬合は両病態の悪化に原因としても結果としても関連しており,口腔内環境の長期安定,種々のトラブルに対する再発予防のためにも,炎症のコントロールのみならず,咬合の安定と咬合力の分散といった外傷性咬合を伴う歯周炎に対する咬合治療も必須である.

さらに,進行した歯周炎患者は,歯周病のみならずう蝕,歯髄疾患,審美,顎関節等の複合的な問題を抱えていることが多く,治療計画として,歯周病治療に併せて,歯冠修復治療,歯内治療,矯正治療,補綴治療等,多くの治療法を組み合わせた各分野のスペシャリストによる包括的治療が必要となる場合が多い.5-7

そこで今回,若年で進行した歯周炎患者に対し,松本歯科大学病院の各診療科が連携した1口腔単位の包括的治療により多数の歯が保存でき,長期に渡るSPTにて良好な状態を維持している症例を報告する.

症例

患 者:39歳(初診時),男性

初診日:2007年6月

主 訴:全顎にわたる歯の動揺

1.全身既往歴

特記すべき全身既往はない.

2.口腔既往歴

2004年(35歳)頃に,近在の歯科医院にて数歯のう蝕治療を受けたのみで,それまでう蝕,歯周病の既往は無く,歯科医院にも通院したことは無い.しかし同年,全顎にわたる歯の動揺を自覚し,松本歯科大学病院(以下本院と略す)初診室を受診した.その際は,仕事が多忙であったことから数回のう蝕治療,歯周ポケット洗浄処置を受けて終了した.その後も歯の動揺は改善せず,2005年(36歳)より歯の動揺に加え,歯肉出血,口臭,歯間部に食渣の停滞を自覚するようになり,2007年6月(39歳),再度本院を受診され,歯周病科に紹介されるにいたる.

3.家族歴

両親は,65歳より上下顎総義歯を装着している.5歳上の兄は歯周病の診断下,近在の歯科医院にて治療を受けている.

4.生活習慣および習癖

20歳代に5年間,1日20本の喫煙歴がある.飲酒習慣はないが,仕事のつきあいで1合程度の飲酒をすることがたまにある.

5.現症

1)全身所見

身長166cm,体重64.0kg,体格指数(Body Mass Index: BMI)は23.2で,体格は中肉中背である.

2)口腔内所見

(1)肉眼所見

全顎的に辺縁歯肉の発赤,腫脹は著明でなく,うっ血を認める程度であった.上下顎前歯部歯肉の形状は棚状に肥厚しており,下顎前歯部および上顎左右側第一大臼歯頬側に高度な歯肉退縮が認められた.歯列弓の形態は,上下顎とも放物線状であるが,上顎中切歯間,上顎右側中切歯・側切歯間,上顎右側犬歯・第一小臼歯間,上顎左側犬歯・第一小臼歯間に歯間離開がみられ,また,下顎前歯部には叢生を認めた(図1a).

(2)歯周組織検査

初診時の全顎の平均プロービングデプス(Probing Depth:PD)は4.5mm,最大PDは10.0mm,3mm以下のPD率が43.5%,4-6mmのPD率は38.7%,7mm以上のPD率が17.9%であった.全顎の平均プロービング時の出血(Bleeding on Probing:BOP)率は42.3%,歯の動揺度は17,22,23,32,33,41,46で1度,11,12,21は2度,16,24,26,31は3度(Millerの分類)であった.また,36に1度,16(近心,遠心),26(近心,遠心),36,47に2度の根分岐部病変(Lindhe & Nymanの分類)が認められた.初診時のプラークスコア(O’LearyらのPlaque control record:PCR値)は83.9%で口腔清掃状態は不良であった(図1b).

(3)エックス線写真所見

初診時,全顎的に中等度から高度の水平性歯槽骨吸収が認められ,24,36,46,47には重度の垂直性骨吸収を認めた.また,46,47には根分岐部病変と思われる透過像が認められ,16,11,26には根尖を取り囲む歯槽骨の透過像を認めた.また,47遠心には歯髄に到達するう蝕様透過像を認めた(図1c).


Fig 1a
図1a.初診時口腔内写真 (2007.6)


Fig 1b
図1b.初診時歯周組織検査結果 (2007.6)


Fig 1c
図1c.初診時14枚法デンタルX線写真 (2007.6)


6.細菌抗体検査

歯周病原菌抗体価検査(DEMECAL®,リージャー㈱会社,東京)を用い,食後3時間後の空腹時血液を指先より採取し,A.a菌(Actinobacillus actinomycetemcomitans),P.g菌(Porhyromonas gingivalis),P.i菌(Prevotella intermedia),E.c菌(Eikenella corrodens)の4細菌種の抗体価の検出を行った結果,侵襲性歯周炎に特異的なA.a.菌をはじめ,4細菌種すべてに抗体価上昇は認められなかった.

7.病因

1)全身リスク因子:なし

2)局所リスク因子:プラーク,歯列不正,外傷性咬合

8.診断

既往歴,臨床病態等を総合的に判断し,広汎型歯周炎ステージⅣグレードCと診断した.

9.治療計画

治療方針

歯周病治療にて歯周組織を改善後,矯正治療,補綴治療により口腔内全体の環境を改善する以下のような包括的な治療計画を立案した.

① 歯周組織検査,細菌検査,診断

② 歯周基本治療(プラークコントロール,スケーリング・ルートプレーニング: Scaling & Root Planing: SRP,咬合調整,抜歯処置,暫間固定,暫間補綴処置)

③ 再評価検査

④ 歯周外科治療(PD残存部位に対して)

⑤ 再評価検査

⑥ 口腔機能回復治療(矯正治療,補綴治療)

⑦ 再評価検査

⑧ SPT(Supportive Periodontal Therapy)

以上の治療計画を立案し,患者の同意を得て治療を開始した.なお,患者には本症例の論文発表および臨床データの発表に関して口頭で説明し,文書にて同意を得た.

10.治療経過(図2

1)歯周基本治療

全顎的な歯の動揺は,歯槽骨吸収のみならず,口腔清掃不良による歯周炎に起因するものであることを患者に説明し,手用歯ブラシによるプラークコントロールを開始した.初診時のPCR値は83.9%と不良であったので,ブラッシング指導は,手用歯ブラシ(Butler211,サンスター㈱会社,大阪)を使用し,スクラビング法を指導し,唇・舌側面の改善が認められるようになった後,歯間隣接面部にスペースに応じたサイズの歯間ブラシ(DENT EX®3M,歯間ブラシS,M,L,ライオン株式会社,東京)をスペースに合わせて使用するよう指導した.下顎前歯部叢生,歯間離開の歯列不正による辺縁歯肉の位置の不ぞろい,歯軸傾斜の不均一,歯肉退縮,抜歯後の歯肉位置の変化等によりブラッシング効果の改善には時間を要したが,指導14回目にPCR値は18.3%まで低下し,以後は多少の変動を繰り返しているものの,ほぼ良好なレベルで維持している.セルフケアとしてのブラッシングによる歯肉縁上プラークの減少後,プロフェッショナルケアとしてのSRPを上顎左側小・大臼歯部,上顎右側小・大臼歯部,上顎前歯部,下顎右側小・大臼歯部,下顎前歯部,下顎左側小・大臼歯部の順に施行し,歯肉縁下歯石の除去,歯根面の滑沢化による歯肉の付着促進を図った.また,SRP1クール終了時には全顎的に歯肉縁下に歯石の取り残しが触知できたため,再度全顎的なSRPを施行した.しかし,2008年2月(40歳時)に16,同年5月に26,2009年2月(41歳)に24,同年4月に11は,歯周基本治療にもかかわらず持続的なアタッチメントロスが認められたことから保存不可能と診断し,抜歯処置を施行した.抜歯処置後の欠損部に対しては,23,25,27を支台とした23-27のブリッジタイプの暫間補綴装置,13,14,15,17を支台としたブリッジタイプの暫間補綴装置,12,21,22を支台とした12-22のブリッジタイプの暫間補綴装置を装着して対応した.


Fig 2
図2.治療経過


歯周基本治療中早期から咬合性外傷に注意し,早期接触や咬頭干渉を除去するため削合,咬合調整を行った.最終的には,審美性,隣在歯の歯周組織破壊の程度,将来的な歯冠補綴処置も考慮して全ユニットを連結して各歯の安定を図った.また,2007年6月より歯周病治療と並行し,47に対し感染根管治療を開始し,根管充填後に暫間補綴装置を装着した.

2)再評価検査(2010年2月)

歯周基本治療後の再評価検査では,歯肉はサーモンピンク色に改善し,うっ血を主体とした辺縁歯肉の炎症所見は消退した.全顎的にはクラス4の歯肉退縮(Millerの歯肉退縮の分類を認めた(図3a).全顎の平均PDは2.8mm,最大PDは10.0mm,3mm以下のPD率が84.0%,4-6mmのPD率は12.5%,7mm以上のPD率が3.5%で,BOP率は11.8%に改善した.しかし,17に7.0mm,27に10.0mm,36に5.0mm,46に7.0mmのPDが残存した.さらに,36の頬舌側に1度,17の近遠心頬側,27の頬側に2度の根分岐部病変の残存が認められた.歯の動揺度は44,46で1度であった(図3b).口腔内エックス線写真所見より,上下顎ともに歯肉縁下歯石は除去されており,歯槽硬線は明瞭であるものの歯槽骨レベルの改善は認められなかった(図3c).


Fig 3a
図3a.歯周基本治療終了後口腔内写真(2010.1)


Fig 3b
図3b.歯周基本治療終了後再評価検査(2010.1)


Fig 3c
図3c.歯周基本治療終了後14枚法デンタルX線写真 (2010.1)


3)歯周外科治療

歯周基本治療終了後の再評価検査にて,17,27に深い歯周ポケット及び2度の根岐部病変の残存を認めたため,2010年4月(42歳),17にエナメルマトリックスタンパクを応用した歯周組織再生療法を施行し(図4),同年6月には27に対し,歯肉剥離掻爬術と遠心部のウエッジ手術を施行した(図5).また,36,46舌側のPD残存部位に対しては、十分な角化歯肉がないためSRPで病状安定化することを選択した.


Fig 4
図4.上顎左側臼歯部エナメルマトリックスタンパクを用いた歯周組織再生療法(2010.4)


Fig 5
図5.上顎左側第二大臼歯歯肉剥離掻爬術と遠心ウエッジ手術(2010.6)


4)再評価検査(2011年2月)

歯周外科治療後の再評価検査では,17口蓋側遠心部,27頬側中央部に4mmのPDが残存したが,BOPはなくなり根分岐部病変は改善した.

5)下顎前歯部矯正治療

歯周外科治療終了6ヵ月後,本学矯正科にて下顎前歯部叢生の改善のため矯正治療を開始した.2010年10月(42歳時)に術前検査を施行し,まず口腔関連筋の不調和を改善するため筋機能療法(Myo Functional Therapy: MFT)を開始した.その後下顎前歯部叢生の診断下,2010年12月,36,46バンド装着,34,33,32,31,41,42,43,44にプラケットを装着し,同歯のアップライトを開始した.その後は1ヶ月毎にワイヤーを調節した.動的矯正治療期間1年4ヶ月後,2012年4月(44歳時)に保定装置の印象採得を施行し,2012年5月に犬歯間保定装置(FSWリテーナー)を装着した.

6)補綴治療

矯正治療終了後,最終補綴物の製作を開始した.上下顎概形印象採得,フェイスボウトランスファー,チェックバイトを施行し,補綴学的診断を施行した.術前の治療計画では,上顎は全ての歯を連結するフルマウスブリッジによる補綴治療を第一選択としていたが,支台歯に平行性が認められず,かつ,すべて生活歯であったため,便宜的な抜髄処置の可能性が推察された.また,重度の歯周炎患者に対する補綴治療を考える際,特に重要である咬合負荷を全顎的に分散させるため,本症例では上顎の最終補綴処置はKey and keyway attachmentを用いた半固定性連結の設計とした.すなわち支台歯の平行性を考慮し,13・14間,22・23間でアタッチメントによる連結機構を設計した.補綴形態決定後は支台歯形成,印象採得後,コーピング試適により適合性の最終確認を行った.上顎最終補綴治療後,下顎の補綴は47から施行し47,36に全部金属冠,咬合支持のため44,45,34,35にアンレータイプの金属冠を装着した.全歯の補綴治療終了後,咬合力測定器(デンタルプレスケール®,GC,東京)にて全顎的に均等に咬合圧が付与されていることを確認した.また,クレンチング習癖があるためナイトガードの作製,装着を行い,夜間のブラキシズムに対応した.

7)再評価検査(2013年12月)

口腔機能回復治療後の再評価検査では,歯肉はサーモンピンク色で,審美的にも機能的にも調和のとれた補綴装置により口腔内の調和が再現された(図6a).全顎の平均PDは2.1mm,最大PDは4.0mm,3mm以下のPD率が99.3%であり,BOPは認められず歯周組織の病状は安定した(図6b).エックス線写真においても歯槽硬線の連続性が再現され,骨梁の配列も正常となったためSPTへ移行した(図6c).


Fig 6a
図6a.口腔機能回復治療終了後口腔内写真(2013.4)


Fig 6b
図6b.口腔機能回復治療終了後再評価検査(2013.4)


Fig 6c
図6c.口腔機能回復治療終了後14枚法デンタルX線写真(2013.4)


8)SPT(2013年12月〜)

SPT移行後も患者は1日4回,毎食後と就寝前にブラッシングを行い,歯間ブラシの使用も継続している.PCRレベルは常に20%台であるが,プラークコントロールが不十分とならないよう,現在まで2ヶ月毎にブラッシング指導と歯面清掃を主体としたSPTを施行し,長期的な口腔内環境の維持・管理に努めている.やや補綴物に着色が認められるものの,歯肉はサーモンピンク色で肉眼的に健康な状態を維持している(図7a).全顎の平均PDは2.1mm,最大PDは4.0mm,3mm以下のPD率が99.3%であり,BOPは認められず歯周組織の病状は安定している(図7b).エックス線写真においても歯槽硬線の連続性が維持され,骨梁の配列も正常である(図7c).


Fig 7a
図7a.初診時より15年経過後の口腔内写真(2022.12)


Fig 7b
図7b.初診時より15年経過後の再評価検査(2022.12)


Fig 7c
図7c.初診時より15年経過後の14枚法デンタルX線写真(2022.12)


考察

歯周病は,口腔内常在菌による慢性感染性疾患であると同時に,宿主因子として生体防御機構,全身疾患,年齢,遺伝,さらに環境因子として,ストレス,喫煙,薬剤などが病変の進行に影響し,動的治療中はもとより,治療後における口腔機能の長期維持を困難にしている.進行した歯周炎では病変の進行に伴い高度な歯周組織の破壊が生じ,歯周組織の支持能力の低下が生じる.これにより健常時には適応できていた咬合力や咀嚼力の負担ができなくなり咬合性外傷を合併する症例は少なくない.この様な症例においては炎症性因子の除去および病変部の改善を目的とした歯周病治療に加え,咬合の安定をはかる咬合再構成を目的とした包括的治療が必要となる.そのため,プラークコントロールを主体とした歯周基本治療,その後の再評価検査結果に基づいた歯周外科治療,二次性咬合性外傷を考慮した口腔機能回復治療,そして長期安定予後に最も重要なSPTと咬合関係の維持に対する対応など各ステージでの適切な評価と処置が必要となってくる.

本症例は,初診時39歳で全顎的な歯の動揺を主訴とし,口腔内エックス線写真においても中等度から高度の水平性の骨吸収を認める広汎型の歯周炎患者であったため,歯周組織の炎症除去,進行抑制,咬合の安定,審美性の回復を図る必要があり,歯周病治療,矯正治療,補綴治療を含めた包括的治療が必要であった.また,包括的治療の結果として得られた顎口腔の機能と審美性を長期に維持・安定させるためには,炎症(歯周炎)と外傷性咬合を制御することが不可欠である.そのために,症例に応じた合目的な間隔のもとでサポーティブペリオドンタルセラピー(SPT)を継続して施行し,良好な状態を維持していくことが重要となる.

1)歯周病の診断について

今回用いた診断は2023年現在,提唱されている新分類,すなわち,2018年6月,アムステルダムで開催されたEuroPerio 9の会期中にAAP・EFPより歯周病の新分類として公表されたものが基盤となっている.旧分類との相違点として以前より,歯周炎を侵襲性歯周炎と慢性歯周炎に大きく2つに分類していたが,新分類ではこれらを1つの歯周炎としてとりまとめた上で,ステージとグレードという診断のフレームワークが導入された.本症例では初診時にプロービングデプス(PPD)が6mm以上であり,3mm以上の垂直性骨吸収や2度の根分岐部病変を認め,最終的に抜歯となった歯は4本だが,全顎的な補綴治療が必要であったためステージⅣとし,グレードの疾患の進行速度として主要因子である骨吸収%/年齢が1.0以上で,急速な進行が認められたためステージはCとした.つまり,国際基準による歯周病の新分類8でステージⅣグレードCと診断した.

2)歯周基本治療について

適正な診断に基づいた歯周基本治療を開始するにあたって,歯周病は,口腔内細菌の集合体であるデンタルプラーク(デンタルバイオフィルム)の量的増加,質的構成異常(dysbiosis: ディスバイオーシス)の結果,9 Porphyromonas gingivalisなどの嫌気性グラム陰性細菌を主体とした歯周病原細菌が増殖することで歯周組織に炎症が生じ,歯周ポケットが形成され,歯肉縁下プラークが増殖することによって発症、進行する細菌感染症である.これらのことを鑑みると,清掃性を向上させ,歯肉の炎症をコントロールすることが動的治療期間中,治療後の長期的安定には欠かせない条件の1つと考えられる.しかし,進行した歯周病では,歯槽骨吸収を伴う深い歯周ポケット形成,歯肉退縮,歯の病的移動などの形態変化が起こり各組織の連続性が失われ,これらの部位は新たなプラークリテンションファクターとなって疾患のさらなる重症化の原因となり,悪循環を繰り返していくことになる.さいわい本症例では,歯の欠損がなく歯列の連続性は保たれていたため,通法通りの手用歯ブラシと歯間部のサイズに合った歯間ブラシを併用して歯肉縁上のプラークコントロールを施行した.初診時はPCR値83.9%と不良であったが,14回のブラッシング指導にて20%以下に低下することができた.PCR値の改善には時間を要したが歯周組織は良好に反応した.その後も矯正治療により歯列不正が改善し,口腔清掃環境が改善し継続的な口腔内環境の維持,管理が行えていることも良好な結果につながったと考えられる.

また,歯周病の局所リスク因子として2次性咬合性外傷があり,病状に応じて咬合調整が必要である.応急処置のための削合を除き,原則的には歯周病患者への咬合調整は炎症の除去後に行うことが望ましい.これは歯周病患者の歯の動揺は歯根膜の炎症で発症、増強していることが考えられること,そして炎症除去後に歯が移動し,再度咬合性外傷となる場合が考えられるからである.本症例の場合,全顎的に歯槽骨吸収が高度で,ほぼ全歯が2次性咬合性外傷歯であった.歯が挺出して動揺している上下顎前歯部、上顎臼歯部には,歯周基本治療中の早期より接触点部の削合を行い,外傷性咬合の為害性を軽減しつつ,SRP等にて炎症を軽減し,それに応答できない歯の抜歯により順次暫間補綴装置装着後は2次性咬合性外傷に注意し,常にフレミタスをチェックしながら咬頭嵌合位,側方運動時には犬歯から小臼歯部のグループファンクションで誘導するように調整した.

3)矯正治療について

本症例は,口腔機能回復治療期に下顎前歯部叢生の改善のため矯正治療を施行した.矯正治療は成人にとっても審美的,機能的な改善方法として非常に有効な治療手段である.しかし,成人の矯正治療はう蝕,歯髄疾患,歯周病といった問題や,歯の欠損がある場合が多い.さらに全身疾患の罹患などがあり,いっそうの配慮と多分野にわたる知識が求められる.10 このような患者を治療する際には,歯科矯正学と歯周病学に関する深い知識が不可欠である.歯周組織の管理は,矯正診断から治療中の歯周組織の評価,プラークコントロール,術後評価まで,すべての段階において必要である.

歯肉の炎症がコントロールされていれば,矯正治療が歯周組織に悪影響を及ぼすことはないという研究結果がある.11 固定式の矯正装置は,口腔衛生を損なう障壁を作り出し,プラークの滞留を引き起こす可能性があるが,12,13 矯正治療中に包括的なデンタルケアを実施すれば,歯肉出血14-15やプラーク量14-16などの有害な変化は減少すると報告されている.よって,歯列矯正は,活動性の歯周病がコントロールされている場合にのみ実施されるべきである.最近の報告では,歯科矯正治療中,およびその後も炎症のない歯周組織の状態の確立と維持が確実に行われなければならないというコンセンサスが得られている.17 さらに,歯根膜が損なわれている場合の矯正治療は,5g~15gの軽い力をかけ続けることが望ましいとされている.18 よって,歯周病患者における矯正治療では,残存歯周組織の程度に応じた適正な矯正力を与えることが重要である.

本症例では歯周基本治療により病状が安定したことに加え,エックス線写真所見でも,矯正治療後における歯槽骨の器質的変化である歯根の異常吸収や歯槽骨吸収は初診時に比較し進行しておらず,また歯根膜腔の著しい拡大も認められず,一部では歯槽骨レベルが改善し,歯槽骨頂に歯槽硬線の明瞭化が認められた.これは矯正治療における矯正力が適切であったためと思われる.矯正治療中は,毎月歯周病科にてプラークコントロール,動的治療中に生じる早期接触,咬頭干渉を検査し,必要であれば咬合調整を施行した.矯正歯科と歯周病科の統合的なアプローチは有用であり,特に複雑な臨床症例において,理想的な質的,機能的,審美的なプランニングに貢献し,最適な治療計画を導くことができる.19

4)補綴処置について

本症例において最終補綴治療を選択,設計するにあたり,大きく義歯,インプラント,クラウンブリッジが考えられた.まず義歯に関しては歯周基本治療時の暫間補綴物の時から患者は義歯を選択しなかった.そこで次に上顎前歯部,大臼歯部のインプラント埋入も考えたが,どの部位も歯槽骨量が少なく,サイナスリフト,骨移植,その後の歯周形成手術の必要性があるということ,インプラント対合歯の歯槽骨量のバランスからインプラントによる外傷性咬合発生の危険性があり,さらに治療期間と費用面からも患者が望まなかったためインプラント治療は選択肢から外し,クラウンブリッジによる設計を進めることとした.

高度の歯槽骨吸収による動揺歯を有する患者に対しては,咬合調整,歯冠形態修正,暫間固定などで治療効果が認められない場合,広範囲の歯周治療用装置による暫間固定や永久固定などを考慮した治療計画の立案が必要となる.本症例においても,上顎で高度な歯槽骨吸収を認めたことから,個々のユニットではなくアーチ全体に沿って咀嚼負荷をより適切に分散させ,歯周サポートの低下による支台歯の過負荷を防ぐため,クロスアーチの固定性補綴装置にて上顎の最終補綴を行う計画を立てた.クロスアーチ設計の固定ブリッジはある程度の剛性を提供し,個別のユニットではなくアーチ全体に沿って咀嚼負荷をより適切に分散させるため,歯周組織支持力の低下による支台歯の過負荷を防ぐことができると報告されている.20,21 また,歯周組織感染が制御されている場合,もとの歯槽骨支持が20~30%であっても支台歯として十分な機能を発揮できるといった報告がある.22-24

5)メインテナンス・SPTについて

長期追跡調査では,歯周組織の状態が安定し,歯周病の再発を防ぐためのSPTが導入されていれば,歯周組織の支持力が低下した歯でも広範な固定補綴物の支台として使用できることが報告されている.24,25 さらに,個別に調整されたリコールプログラムと併せて,患者のコンプライアンスが長期的な成功を収めるには極めて重要である.これは,全顎的な治療を行った場合だけでなく,すべての症例で適切なレベルのプラークコントロールを達成および維持できること意味している.26 さらに,歯周組織の高度な喪失を有する患者において歯周病治療と補綴治療を組み合わせた治療は,適切なメンテナンスケアが継続できれば,長期的な成功率が高いと結論づけられている.22 すなわち,歯周病は再発しやすい疾患であるため,歯周病治療により治癒または病状安定となった歯周組織を長期間維持するためには,メインテナンス・SPTを行うことが必須である.多くの文献では,歯周メインテナンス,Supportive periodontal care(SPC),supportive periodontal therapy (SPT)などの異なる用語が使用されている27が,日本歯周病学会では,メインテナンスとSPTを区別して用いており,メインテナンスは「治癒」した歯周組織を長期間維持するための「健康管理」,SPTは「病状安定」となった歯周組織を維持するための「治療」として扱っている.28

長期的な歯周組織の健康と歯列の安定はメインテナンス・SPTのクオリティと,その頻度にかかっている.定期的なメインテナンス・SPTを受けなかった場合は受けていた場合と比較し,5~6倍歯を失う危険性は高くなるといった報告がある.29 したがって,歯周病治療前にメインテナンス・SPTの目的と必要性について,患者によく説明し,理解してもらわなくてはならない.30 歯周基本治療や歯周外科処置で直視可能な部位であっても完全に縁下歯石や感染組織を除去することは難しい.歯肉縁下のバイオフィルムが十分に取り除かれなかった場合,臨床症状がないにも関わらず,持続的なアタッチメントロスを誘導してしまう.そのため,APT終了後も継続的にバイオフィルムを取り除くことが重要である.

メインテナンス・SPT時の治療項目として,米国歯周病学会(AAP)では以下の内容を挙げている.①病歴と歯科歴の更新.②口腔外および口腔内の軟組織の検査.③口腔内検査とレントゲン検査.④患者の口腔衛生の評価.⑤歯周組織評価とリスク評価.⑥歯肉縁上および歯肉縁下の細菌性プラークおよび歯石の除去.⑦必要に応じて疾患の再治療を行う.徹底的な歯周組織評価,リスク評価,およびプラークや歯石の機械的デブライドメントを含むその後の治療が含まれることで,日常的な検査と区別される.31 また,患者一人一人に応じたメインテナンス・SPTの時期を提案することも非常に重要である.全身疾患や患者のコンプライアンスを考慮した適切な期間32で設定する必要がある.

SPT期間中には,補綴装置の破損や歯根の破折,保存可能と判断した歯の病状悪化,患者自身の加齢や全身疾患の発症など,さまざまな要素が複雑に関与してくる.本症例は重度の歯周炎患者,かつ矯正,補綴治療を含めた包括的治療を実施した患者であり,特に注意が必要であった.SPT期間は2ヶ月に設定し,SPT期間中に何度か歯肉の炎症を認めたことがあったが,早期に対処することでSPTから10年経過しても良好な状態を保っている.SPTを継続し,早期に急性症状に対応することで負担のかかる支台歯や矯正治療の歯であっても長期的な保存が期待できると思われる.


本論文に関して,開示すべき利益相反状態はない.

文献

  1. 厚生労働省 令和4年歯科疾患実態調査. 4mm以上の歯周ポケットを持つ人の割合https://www.mhlw.go.jp/content/10804000/001112405.pdf
  2. Rathod SR, Kolte AP, Chintawar S: The dynamic relationship between pathological migrating teeth and periodontal disease. J Indian Soc Periodontol, 17(6): 762-4, 2013.
  3. Meetu Preet Jain,Preet Rajendra Jain,Harneet Singh Chawla, et al: Pathological tooth migration-spontaneous correction of diastema after surgical periodontal therapy: a case report. Pan Afr Med J, 41:39, 2022.
  4. Brunsvold MA: Pathologic tooth migration. J Periodontol, 76: 859-866, 2005.
  5. Lindhe J: Textbook of clinical Periodontology 2nd edition Munksagaard Copenhagen, 563-589, 1989.
  6. Kessler M: Interrelationships between orthodontics and periodntics. American Journal of Orthodontics, 70:154-172, 1976.
  7. Melsen B, Agerbaek N: Othodontics as an adjunct to rehabilitation. Periodontal 2000, 4: 148-159, 1994.
  8. Panos N Papapanou, Mariano Sanz, Nurcan Buduneli, et al: Periodontitis: Consensus report of workgroup 2 of the 2017 World Workshop on the Classification of Periodontal and Peri-Implant Diseases and Conditions. J Periodontol, 89 Suppl 1: S173-S182. 2018.
  9. Dutzan N , Kajikawa T, Abusleme L, et al: A dysbiotic microbiome triggers TH17 cells to mediate oral mucosal immunopathology in mice and humans. Sci Transl Med, 10: eaat0797, 2018.
  10. 坂本輝雄,原埼守弘,山口秀晴ほか: 包括的歯科治療を行った成人上顎前突症例. 歯科学報,104(6): 592-598,2004.
  11. Nadimpalli H, Kamath DG, Kadakampally D: Perio-ortho interactions - a review. J Pharmaceut Sci Res, 10: 1053–1056, 2018.
  12. Alexander SA: Effects of orthodontic attachments on the gingival health of permanent second molars. Am J Orthod Dentofacial Orthop, 100: 337–340, 1991.
  13. van Gastel J, Quirynen M, Teughels W, et al: Longitudinal changes in microbiology and clinical periodontal parameters after removal of fixed orthodontic appliances. Eur J Orthod, 33: 15–21, 2011.
  14. Erkan M, Pikdoken L, Usumez S: Gingival response to mandibular incisor intrusion. Am J Orthod Dentofacial Orthop, 132: 143–149, 2007.
  15. Ari-Demirkaya A, Ilhan I: Effects of relapse forces on periodontal status of mandibular incisors following orthognathic surgery. J Periodontol, 79: 2069–2077, 2008.
  16. Sinclair PM, Berry CW, Bennett CL, et al: Changes in gingiva and gingival flora with bonding and banding. Angle Orthod, 57:271–278, 1987.
  17. Erbe C, Heger S, Kasaj A, et al: Christina Orthodontic treatment in periodontally compromised patients: a systematic review. Clinical Oral Investigations, 27: 79-89, 2023.
  18. Melsen B, Agerbaek N, Markenstam G: 辺縁骨損失のある成人患者における切歯の侵入. Am J Orthod Dentofacial Orthop, 96(3):232–241, 1989.
  19. Alsulaimani L, Alqarni H, Akel M, et al: The Orthodontics-Periodontics Challenges in Integrated Treatment: A Comprehensive Review. Cureus, 15(5): e38994, 2023.
  20. Nyman S R, Lang N P: Tooth mobility and the biological rationale for splinting teeth. Periodontol 2000, 4: 15–22, 1994.
  21. Fardal O, Linden GJ: Long-term outcomes for cross-arch stabilizing bridges in periodontal maintenance patients—A retrospective study. J Clin. Periodontol, 37: 299–304, 2010.
  22. S W Yi, I Ericsson, G E Carlsson, et al: Long-term follow-up of cross-arch fixed partial dentures in patients with advanced periodontal destruction, Acta Odontol Scand, 53: 242–248, 1995.
  23. Laurell L, Lundgren D, Falk H et al: Long-term prognosis of extensive polyunit cantilevered fixed partial dentures. J Prosthet Dent, 66: 545–552, 1991.
  24. Lundgren D: Prosthetic reconstruction of dentitions seriously compromised by periodontal disease. J Clin Periodontol, 18: 390–395, 1991.
  25. D Lundgren, S Nyman, L Heijl, G E Carlsson: Functional analysis of fixed bridges on abutment teeth with reduced periodontal support. J Oral Rehabil,2(2): 105-16,1975.
  26. S Kourkouta, K W Hemmings, L Laurell: Restoration of periodontally compromised dentitions using cross-arch bridges.Principles of perio-prosthetic patient management. Br Dent J, 203: 189-95. 2007.
  27. Stefan Renvert,G. Rutger Persson: Supportive periodontal therapy. Periodontology 2000,36: 179-95, 2004
  28. 茂木美穂: メインテナンス・SPTにおける3つのポイント.日周歯,57(3): 130-133,2015
  29. Luigi Checchi,Marco Montevecchi,Maria Rosaria Antonella Gatto,et al: Retrospective study of tooth loss in 92 treated periodontal patients. J Clin Periodontol,29(7):651-6, 2002.
  30. William Becker,Burton E. Becker,Lawrence E. Berg : Periodontal Treatment Without Maintenance: A Retrospective Study in 44 Patients. J Periodontol, 55(9):505-9, 1984.
  31. Carolina Manresa, Elena C Sanz-Miralles, Joshua Twigg, et al: Supportive periodontal therapy (SPT) for maintaining the dentition in adults treated for periodontitis. Cochrane Database Syst Rev, 1(1): CD009376, 2018.
  32. MG Newman, H Takei, PR Klokkevold, et al: Newman and Carranza’s Clinical Periodontology 13th Edication.ELSEVIER.2019.

JICD,Vol.5,No.1,e003,2024

ENG / CHN / JPN / ESP

Clinical Report

Una Nueva Clasificación Quirúrgica Para La Elevación Del Seno Maxilar: Informe Retrospectivo Radiográfico Y Clínico"

Yuki Ohtani 1,2) Masato Yamaguchi 3) Shuichiro Yamashita 5) Kazuhiro Yamada 5) Yasuhiro Tai 6) Ryuichi Mizutani 1) Yuki Ozaki 1) Nanae Dewake 1) Keiichi Uchida 7) Nobuo Yoshinari 1,2)

1) Department of Operative Dentistry, Endodontology and Periodontology, School of Dentistry, Matsumoto Dental University.
2) Oral Health Science, Department of Oral Health Promotion, Oral Science Course, Matsumoto Dental University Graduate School of Oral Medicine.
3) Yamaguchi Dental Clinic,Nagano,Japan.
4) Department of Removable Partial Prosthodontics, Tokyo Dental College.
5) Asunaro Pediatric Dental Clinic, Toyama, Japan.
6) Tai Dental Clinic,Kanagawa,Japan.
7) Department of Hard Tissue Research, Graduate School of Oral Medicine, Matsumoto Dental University.

Corresponding Author: Nobuo Yoshinari, D.D.S., Ph. D Phone & Fax: 0263-51-2015 E-mail: [email protected]

Resúmenes

La función oral en pacientes con enfermedad periodontal sólo puede mantenerse con un control inflamatorio estricto, un posicionamiento vertical y horizontal adecuado de los maxilares y el restablecimiento de las relaciones oclusales, tal y como se tipifica en la avulsión molar con guía antelar. Sin embargo, en casos graves de periodontitis, se producen movimientos dentarios y desplazamientos patológicos debido a un alto grado de destrucción del tejido periodontal. Como resultado, el equilibrio oclusal se ve alterado y una carga excesiva más allá de la capacidad de adaptación del periodonto actúa a menudo como una oclusión traumática, dando lugar a un estado de trauma oclusal secundario y a un mayor aumento de la destrucción del tejido periodontal.

En este estudio, presentamos el caso de un paciente con periodontitis extensa justo antes del colapso oclusal, que fue tratado con un enfoque de equipo integral que incluía periodoncia, ortodoncia y prostodoncia, con la inflamación y la estabilidad oclusal como objetivos del tratamiento, y con buenos resultados y estabilidad a largo plazo.

El paciente, un hombre de 39 años, acudió al Departamento de Periodoncia del Hospital Universitario Dental de Matsumoto con la queja principal de que se le movían los dientes de toda la mandíbula. Se diagnosticó al paciente periodontitis extensa con espaciamiento interdental e irregularidades dentarias en el plexo. Posteriormente, la paciente se sometió a un tratamiento de ortodoncia para corregir la mala práctica dental y lograr la continuidad dentaria. Finalmente, el tratamiento protésico completo estableció la oclusión y se consiguió un buen entorno oral. El paciente ha estado en terapia periodontal de apoyo (SPT) durante 10 años.

Palabras clave: broad type periodontitis, malalignment of teeth, prosthetic treatment, team approach, interdisciplinary treatment

Introducción.

La periodontitis es una enfermedad inflamatoria crónica causada por la infección de la encía con bacterias comensales orales y se caracteriza por la destrucción y reabsorción del tejido conectivo gingival y el hueso alveolar, y es una enfermedad relacionada con el estilo de vida que afecta aproximadamente al 50% de los japoneses de 40 años o más.1 Por lo general, a medida que progresa la periodontitis, se producen movimientos y desplazamientos dentales patológicos en función del grado de la enfermedad. De hecho, se ha informado de que el movimiento dental patológico se produce en el 30-55,8% de los pacientes con periodontitis.2-4 En los pacientes con periodontitis avanzada, la descomposición del tejido periodontal es marcada y éste suele ser incapaz de soportar las fuerzas masticatorias y oclusales a las que era capaz de adaptarse en condiciones sanas. Las fuerzas de mordida que superan la capacidad de adaptación del periodonto actúan como una mordida traumática sobre los dientes cada vez más alterados, destruyendo el tejido periodontal. Esto actúa como un trauma oclusal secundario sobre el ligamento periodontal, provocando un mayor deterioro de la enfermedad. Incluso cuando el periodonto está sano, la maloclusión y la maloclusión pueden causar maloclusión en la relación de contacto oclusal con los dientes opuestos, dando lugar a un contacto prematuro, fuerzas laterales no deseadas y oclusión traumática, que también causa trauma oclusal primario en los tejidos periodontales sanos. Por lo tanto, la enfermedad periodontal como inflamación y la oclusión como traumatismo están relacionadas con el deterioro de ambas patologías, como causa y como consecuencia. Para la estabilidad a largo plazo del entorno oral y la prevención de la reaparición de diversos problemas, en la periodontitis con mordida traumática son esenciales no sólo el control de la inflamación, sino también la estabilidad oclusal y la distribución de las fuerzas oclusales. También es esencial el tratamiento oclusal para la periodontitis con oclusión traumática, como la estabilidad de la oclusión y la distribución de las fuerzas oclusales.

Además, los pacientes con enfermedad periodontal avanzada a menudo sufren trastornos complejos que implican caries dental, enfermedad de la pulpa dental, estética, articulaciones temporomandibulares además de la enfermedad periodontal, por lo que en muchos casos requieren un tratamiento interdisciplinar en sus planes de tratamiento que consiste en una combinación de múltiples enfoques de tratamiento, como restauración coronal, endodoncia, ortodoncia y tratamientos protésicos además del tratamiento de la periodontitis por especialistas en cada área.5-7

En este estudio, informamos de un caso de un paciente joven con periodontitis avanzada, en el que se pudo preservar un gran número de dientes mediante un tratamiento integral en una única unidad oral en colaboración con los distintos departamentos del Hospital de la Universidad Dental de Matsumoto, y que mantuvo un buen estado tras la SPT a largo plazo.

CASO

Paciente: 39 años (en el primer examen), varón

Fecha de la primera visita: junio de 2007

Queja: Movimiento dentario en toda la mandíbula

1. Antecedentes sistémicos

No hay antecedentes sistémicos.

2. Historia oral

La paciente no tenía antecedentes de caries dental ni de enfermedad periodontal y nunca antes había acudido a una clínica dental. Sin embargo, ese mismo año, se dio cuenta de que se le movían los dientes de toda la mandíbula y acudió a la sala de exploración inicial del Hospital Universitario Dental de Matsumoto (en lo sucesivo, "el hospital principal"). Debido a su apretada agenda laboral, se sometió al tratamiento de caries y a la limpieza de bolsas periodontales varias veces antes de completar el tratamiento. En 2005 (36 años), además del movimiento dental, empezó a notar sangrado gingival, halitosis y estancamiento de restos de comida en los espacios interdentales, y en junio de 2007 (39 años), visitó de nuevo esta clínica y fue remitido al Departamento de Periodoncia.

3. Antecedentes familiares

Ambos padres llevan prótesis completas superiores e inferiores desde los 65 años. El hermano, que es 5 años mayor que él, ha estado recibiendo tratamientos en un dentista cercano tras ser diagnosticado de periodontitis.

4. Estilo de vida y hábitos

El paciente tiene antecedentes de haber fumado 20 cigarrillos al día durante 5 años a los 20 años. No bebía con regularidad, pero ocasionalmente tomaba 180 ml de bebidas alcohólicas con sus compañeros de trabajo.

5. Estado actual

1) Hallazgos sistémicos

Altura de 166 cm, peso de 64,0 kg, IMC (Índice de Masa Corporal) de 23,2, complexión media, estatura media.

2) Hallazgos intraorales

(1) Resultados macroscópicos

La encía marginal no presentaba enrojecimiento ni inflamación evidentes en toda la mandíbula; no obstante, se observó cierta congestión sanguínea. La forma gingival de los dientes anteriores de la mandíbula y el maxilar era la de una gruesa repisa. Se observó una recesión gingival significativa en los dientes anteriores de la mandíbula y en el lado de la hebilla del primer molar maxilar izquierdo y derecho.El arco dental en el maxilar y la mandíbula tenía una forma parabólica. Sin embargo, se observó separación dental entre los incisivos centrales maxilares, el incisivo central maxilar derecho y el incisivo lateral, el canino y el primer premolar maxilar derecho, el canino y el primer premolar maxilar izquierdo, y apiñamiento en los incisivos centrales mandibulares (Fig.1a)

(2) Examen del tejido periodontal

En el momento de la primera visita, la PD (profundidad de sondaje) media en todo el maxilar era de 4,5 mm, la PD máxima era de 10,0 mm, el 43,5% tenía una PD de 3 mm o menos, el 38,7% de 4 a 6 mm, el 17,9% de 7 mm o más. El promedio de BOP (sangrado al sondaje) en toda la mandíbula fue del 42,3%. la movilidad de los dientes en 17, 22, 23, 32, 33, 41, 46 fue grado 1, grado 2 en 11, 12, 21, y grado 3 en 16, 24, 26, 31 (clasificación de Miller).

Además, en 36 se encontraron lesiones de bifurcación radicular (clasificación de Lindhe & Nyman) de 1er grado, 16 (proximal, centrífuga), 26 (proximal, centrífuga), 36 y 47 de 2º grado. La puntuación de placa (registro de control de placa de O'Leary et al.: valor PCR) en la primera visita era del 83,9% y la limpieza bucal era deficiente (Fig.1b).

(3) Hallazgos radiográficos

En la primera visita, los hallazgos mostraron reabsorción ósea alveolar horizontal de moderada a avanzada en toda la mandíbula, y reabsorción ósea vertical avanzada en 24, 36, 46, 47. Además, en 46, 47 había hallazgos radiolúcidos que probablemente estaban asociados con la afectación de la furcación, y en 16, 11, 26 se mostraban áreas radiolúcidas en el hueso alveolar que rodeaba el ápice radicular. Además, distalmente en 47, los hallazgos radiolúcidos mostraban caries que se extendían a la pulpa dental.(Fig.1c).


Fig 1a
(Fig.1a) Intraoral photo taken during first visit (June 2007)


Fig 1b
(Fig.1b) Results of periodontal tissue examination during first visit (June 2007)


Fig 1c
(Fig.1c) Dental X-ray 14 during first visit (June 2007)


6. Prueba de anticuerpos bacterianos

Mediante la prueba de títulos de anticuerpos periodontopatógenos (DEMECAL®, Ledger Co., Ltd., Tokio), se tomaron muestras de sangre en ayunas de las yemas de los dedos 3 horas después de una comida para detectar títulos de anticuerpos de cuatro especies bacterianas: A. a (Actinobacillus actinomycetemcomitans), P. g (Porhyromonas gingivalis), P. i (Prevotella intermedia) y E. c (Eikenella corrodens). No se observó ningún aumento de los títulos de anticuerpos para las cuatro especies bacterianas, incluida A. a., que es específica de la periodontitis invasiva.

7. Causa

1) Factor de riesgo sistémico: ninguno

2) Factor de riesgo local: Placas, mala alineación de los dientes, oclusión traumática

8. Diagnóstico

Tras un examen exhaustivo que incluyó la historia clínica y el estado clínico, el paciente fue diagnosticado de periodontitis de tipo amplio en estadio Ⅳ, grado C..

9. Plan de tratamiento

Política de tratamiento

Después de mejorar el tejido periodontal mediante el tratamiento de la enfermedad periodontal, diseñamos el siguiente plan de tratamiento integral para mejorar el entorno general de la cavidad bucal mediante tratamiento de ortodoncia y tratamiento protésico.

① Examen del tejido periodontal, examen bacteriano, diagnóstico.

② Tratamiento periodontal básico (control de placa, raspado y alisado radicular: SRP, ajuste oclusal, tratamiento de extracción dental, fijación temporal, tratamiento protésico temporal)

③ Inspección de reevaluación

④ Tratamiento quirúrgico periodontal (para áreas restantes de EP)

⑤ Inspección de reevaluación

⑥ Tratamiento de recuperación de la función bucal (tratamiento de ortodoncia, tratamiento protésico)

⑦ Inspección de reevaluación

⑧ SPT (terapia periodontal de apoyo)

Se elaboró el plan de tratamiento anterior y se inició el tratamiento tras obtener el consentimiento de la paciente. Se informó verbalmente a la paciente sobre la publicación de este caso y los datos clínicos, y se obtuvo su consentimiento por escrito.

10. Curso del tratamiento (Fig. 2)

1) Tratamiento periodontal básico

Se informó al paciente de que el movimiento de la mandíbula no sólo se debía a la reabsorción ósea alveolar, sino también a una periodontitis causada por una higiene bucal deficiente, y se inició el control de la placa con un cepillo de dientes manual. Dado que el valor de PCR en la visita inicial era deficiente (83,9%), se instruyó al paciente para que se cepillara los dientes con un cepillo manual (Butler #211, Sunstar Co., Ltd., Osaka, Japón) y con el método de fregado, y una vez observada la mejoría en las caras labial y lingual, se aplicó a las superficies adyacentes un cepillo interdental con un tamaño adecuado para el espacio entre los dientes (Una vez observada la mejoría de las caras labial y lingual, se instruyó en el uso de cepillos interdentales de diferentes tamaños (DENT EX® 3M, cepillos interdentales S, M, L, Lion Corporation, Tokio) según el espacio de las superficies interdentales adyacentes. Llevó tiempo mejorar el efecto del cepillado debido a la posición gingival marginal desigual, la inclinación desigual del eje del diente, la retracción gingival y el cambio de posición gingival tras la extracción del diente, pero el valor de PCR disminuyó al 18,3% en la 14ª sesión de enseñanza y se ha mantenido en un nivel casi bueno desde entonces, aunque ha fluctuado ligeramente. El valor de PCR disminuyó hasta el 18,3% en la 14ª sesión de enseñanza y se ha mantenido en un nivel casi bueno desde entonces, aunque ha fluctuado ligeramente.


Fig 2
(Fig.2) Treatment process


Después de reducir la placa supragingival mediante el cepillado de autocuidado, se aplicó SRP como cuidado profesional en el área de los molares y pequeños del lado superior izquierdo, en el área de los molares y pequeños del lado superior derecho, en el área anterior del maxilar, en el área de los molares y pequeños del lado derecho mandibular y en el área de los molares y pequeños del lado superior derecho. área anterior mandibular El procedimiento se realizó en las áreas pequeñas y molares del lado izquierdo de la mandíbula para eliminar el cálculo subgingival y promover la inserción gingival alisando la superficie de la raíz del diente. Además, al finalizar el primer ciclo de SRP, se detectó la presencia de sarro residual debajo del margen gingival en toda la mandíbula, lo que llevó a la realización de otro SRP completo. Sin embargo, en febrero de 2008 (a los 40 años de edad), el diente 16, en mayo del mismo año el diente 26, en febrero de 2009 (a los 41 años de edad) el diente 24, y en abril del mismo año el diente 11, mostraron una pérdida de la inserción persistente a pesar del tratamiento periodontal básico, lo que llevó al diagnóstico de no ser viable su preservación y se procedió con su extracción. Para el área defectuosa después del procedimiento de extracción del diente, utilizamos prótesis temporales tipo puente 23-27 con 23, 25 y 27 como pilares, y prótesis temporales tipo puente con 13, 14, 15 y 17 como pilares. Se instaló el dispositivo protésico 12-22 con los dispositivos protésicos 12, 21 y 22 como pilares.

Durante el tratamiento periodontal básico, se prestó atención a los traumatismos oclusales desde una fase temprana, y se procedió al tallado y ajuste oclusal para eliminar el contacto prematuro y las interferencias oclusales. Por último, se conectaron todas las unidades y se estabilizó cada diente teniendo en cuenta la estética, el grado de destrucción del tejido periodontal en los dientes vecinos y el futuro tratamiento protésico con coronas. En junio de 2007, paralelamente al tratamiento periodontal, se inició un tratamiento de conductos radiculares infectados en 47 dientes, y se colocó una prótesis provisional tras obturar el conducto radicular.

2) Examen de reevaluación (febrero de 2010)

En el examen de reevaluación tras el tratamiento periodontal básico, la encía mejoró a un color rosa salmón y desaparecieron los hallazgos inflamatorios de la encía marginal, principalmente la congestión. En general, se observó una recesión gingival de clase 4 (clasificación de Miller de la recesión gingival) (Fig.3a).

La PD media de toda la mandíbula fue de 2,8 mm, la PD máxima fue de 10,0 mm, la tasa de PD de 3 mm o menos fue del 84,0%, la tasa de PD de 4-6 mm fue del 12,5%, la tasa de PD de 7 mm o más fue del 3,5% y la tasa de BOP mejoró hasta el 11,8%. Sin embargo, seguían existiendo PD de 7,0 mm en 17, 10,0 mm en 27, 5,0 mm en 36 y 7,0 mm en 46 dientes. Además, había lesiones residuales de bifurcación radicular de un grado en el lado bucolingual de 36, de dos grados en el lado bucal casi central de 17 y en el lado bucal de 27. El grado de movilidad dentaria era de un grado en 44 y 46 (Fig.3b).

Las radiografías intraorales mostraron que se había eliminado el sarro subgingival tanto en el maxilar superior como en el inferior y que el nivel óseo alveolar no había mejorado, aunque la línea dura alveolar era clara (Fig.3c).


Fig 3a
(Fig.3a) Intraoral photo after completion of basic periodontal treatment has completed (2010.1)


Fig 3b
(Fig.3b) Reevaluation and examination after completion of basic periodontal treatment (January 2010)


Fig 3c
(Fig.3c) Dental X-ray 14 after completion of basic periodontal treatment (January 2010)


3) Tratamiento quirúrgico periodontal

Tras el examen de reevaluación posterior a la finalización del tratamiento periodontal básico, se detectaron bolsas periodontales profundas y dos lesiones radiculares residuales en 17 y 27, por lo que en abril de 2010 (42 años) se realizó una terapia de regeneración tisular periodontal con una proteína de matriz de esmalte en 17 (Fig.4), y en junio de 2010 se realizó un curetaje de exfoliación gingival y una cirugía centrífuga de cuña en 27 (Fig.5). En el resto de las localizaciones de PD en las caras linguales 36 y 46, optamos por estabilizar la enfermedad con SRP porque no había suficiente encía queratinizada.


Fig 4
(Fig.4) Enamel matrix proteins were applied in a procedure for periodontal regeneration in the maxillary left molar (April 1, 2020)


Fig 5
(Fig.5) Gingival flap operation and distal wedge procedure were performed on the maxillary left second molar (June 2010)


4) Pruebas de reevaluación (febrero de 2011)

En la prueba de reevaluación después de la cirugía periodontal, quedaban 4 mm de PD en el lado palatino, distalmente en 17 y en la zona media bucal en 27. La BOP ya no estaba presente y la afectación furcal mejoró. La BOP ya no estaba presente y la afectación de la furcación mejoró.

5) Tratamiento de ortodoncia de los dientes anteriores mandibulares

6 meses después de finalizar el tratamiento quirúrgico periodontal, los ortodoncistas de este hospital iniciaron el tratamiento ortodóncico para mejorar el apiñamiento de los dientes anteriores mandibulares. En octubre de 2010 (a la edad de 42 años), se realizó un examen preoperatorio, y para mejorar en primer lugar el desequilibrio de los músculos periorales, se inició la MFT (Terapia Mio Funcional). En diciembre de 2010, bajo el diagnóstico de plexo en los dientes anteriores mandibulares, se ajustaron las bandas 36 y 46 y se colocaron plaquetas en los dientes 34, 33, 32, 31, 41, 42, 43 y 44, y se inició el enderezamiento de los mismos. A partir de entonces, los alambres se ajustaron cada mes. Tras 1 año y 4 meses de tratamiento ortodóncico dinámico, se tomó una impresión del aparato de retención en abril de 2012 (a la edad de 44 años), y se colocó el aparato de retención intercanino (retenedor FSW) en mayo de 2012.

6) Tratamiento protésico

Una vez finalizado el tratamiento ortodóncico, se inició la fabricación de la prótesis definitiva. El diagnóstico protésico se realizó mediante la toma de impresiones de los contornos maxilar y maxilar, transferencias de arco facial y mordidas de control. En el plan de tratamiento preoperatorio, la primera opción de tratamiento protésico para el maxilar era un puente bucal completo que uniera todos los dientes, pero debido a que los dientes pilares no mostraban paralelismo y eran todos dientes vivos, se dedujo la posibilidad de un procedimiento de extracción pulpar por conveniencia. Con el fin de distribuir la carga oclusal por toda la mandíbula, lo cual es especialmente importante cuando se considera el tratamiento protésico de pacientes con periodontitis severa, el tratamiento protésico final del maxilar en este caso se diseñó como una conexión semifija utilizando el aditamento de chaveta y chavetero. En otras palabras, teniendo en cuenta el paralelismo de los dientes pilares, se diseñó un mecanismo de conexión de fijación entre 13 y 14 y entre 22 y 23. Una vez determinada la forma protésica, se formaron los dientes pilares, se tomaron impresiones y se confirmó el ajuste final mediante un ajuste de cofia. Tras el tratamiento protésico definitivo del maxilar superior, se llevó a cabo el tratamiento protésico de la mandíbula a partir del 47, con coronas totalmente metálicas en 47 y 36 y coronas metálicas tipo relé en 44, 45, 34 y 35 para soporte oclusal. Una vez finalizado el tratamiento protésico de todos los dientes, se confirmó mediante un instrumento de medición de la fuerza oclusal (Dental Prescale®, GC, Tokio) que la presión oclusal se aplicaba de forma uniforme en todos los maxilares. Se confeccionó y ajustó un protector nocturno para su hábito de apretar los dientes con el fin de hacer frente a su bruxismo nocturno.

7) Examen de reevaluación (diciembre de 2013).

En el examen de reevaluación después del tratamiento para restablecer la función oral, la encía era de color rosa salmón y se reprodujo la armonía oral mediante un aparato protésico estética y funcionalmente armonioso (Fig. 6a). La PD media de toda la mandíbula era de 2,1 mm, la PD máxima era de 4,0 mm, la tasa de PD por debajo de 3 mm era del 99,3%, y la enfermedad del tejido periodontal era estable sin BOP (Fig.6b). Radiográficamente, se reprodujo la continuidad de la línea dura alveolar y la alineación de los haces óseos era normal, por lo que el paciente fue transferido a SPT (Fig. 6c).


Fig 6a
(Fig.6a) Intraoral photo after completion of restoration of oral function was completed(2013.4)


Fig 6b
(Fig.6b) Reevaluation and examination after completion of restoration of oral function (April 2013)


Fig 6c
(Fig.6c) Digital X-ray 14 after completion of restoration of oral function (April 2013)


8)SPT (a partir de diciembre de 2013).

Tras la transición a SPT, el paciente se cepilló 4 veces al día después de cada comida y antes de acostarse y ha seguido utilizando un cepillo interdental. Los niveles de PCR han estado constantemente en el rango del 20%. SPT , que consiste principalmente en instrucciones sobre el cepillado y la limpieza de la superficie dental, se ha aplicado cada dos meses hasta la actualidad, y se hacen esfuerzos para mantener y gestionar la higiene bucal a largo plazo para garantizar que el control de la placa no sea insuficiente. Aunque se observa una decoloración menor en las prótesis, el color de la encía es rosa salmón y se ha mantenido un aspecto macroscópicamente sano (Fig.7a). La PD media en toda la mandíbula es de 2,1mm, la PD máxima es de 4,0mm, la proporción de PD de 3mm o menos es del 99,3%. No se ha encontrado BOP y la condición del tejido periodontal ha sido estable (Fig.7b). En la radiografía, la continuidad de la línea dura alveolar se ha replicado y la secuencia de las trabéculas óseas ha sido normal (Fig.7c).


Fig 7a
(Fig.7a) Intraoral photo: 15 years after first visit (December 2022)


Fig 7b
(Fig.7b) Examination for reevaluation: 15 years after first visit (December 2022)


Fig 7c
(Fig.7c) 15 years after first visit: dental X-ray 14 (December 2022)


Discusión.

La enfermedad periodontal es una enfermedad infecciosa crónica causada por bacterias orales endémicas, y factores del huésped como los mecanismos de defensa, las enfermedades sistémicas, la edad, la genética y factores ambientales como el estrés, el tabaquismo y los fármacos afectan a la progresión de la enfermedad, dificultando el mantenimiento de la función oral durante y después del tratamiento dinámico. En la periodontitis avanzada, la progresión de las lesiones va acompañada de un alto grado de destrucción del tejido periodontal y de una reducción de la capacidad de soporte del tejido periodontal. Esto se traduce en la incapacidad de soportar las fuerzas oclusales y masticatorias adaptables en condiciones sanas, y a menudo se complica con traumatismos oclusales. En estos casos, además del tratamiento periodontal dirigido a eliminar los factores inflamatorios y mejorar las lesiones, es necesario un tratamiento integral dirigido a la reconstrucción oclusal para estabilizar la oclusión. Por lo tanto, se requiere una evaluación y un tratamiento adecuados en cada fase, incluyendo el tratamiento periodontal básico principalmente para el control de la placa, el tratamiento quirúrgico periodontal basado en los resultados de los exámenes de reevaluación posteriores, el tratamiento para restaurar la función oral teniendo en cuenta el trauma oclusal secundario, y el mantenimiento del SPT y de las relaciones oclusales, que son los más importantes para un pronóstico estable a largo plazo. Los factores más importantes para un pronóstico estable a largo plazo son el SPT y el mantenimiento de la relación oclusal.

1) En este caso, en el momento de la primera visita, el paciente tenía 39 años con una queja principal de movilidad de los dientes en toda la mandíbula. Se trataba de un paciente con periodontitis de tipo amplio y, dado que en las radiografías intraorales se observaba una reabsorción ósea horizontal de moderada a avanzada, era necesario eliminar la inflamación de los tejidos periodontales, controlar la progresión de la enfermedad, mantener la estabilidad oclusal y restaurar la estética, así como llevar a cabo un tratamiento interdisciplinar que incluyera el tratamiento de la periodontitis, el tratamiento ortodóncico y el tratamiento protésico. Además, para preservar de forma estable la funcionalidad y la estética del sistema estomatognático que se lograron como resultado de un tratamiento interdisciplinario, se deben controlar las inflamaciones (periodontitis) y la oclusión traumática. Por lo tanto, la terapia periodontal de apoyo (TPE) debe aplicarse de forma continua a intervalos adecuados para cada caso con el fin de alcanzar los objetivos del tratamiento y mantener el bienestar del paciente.

1) Diagnóstico de la enfermedad periodontal

El diagnóstico utilizado en este estudio se basa en la nueva clasificación propuesta a partir de 2023, es decir, la nueva clasificación de la enfermedad periodontal publicada por la AAP/EFP durante EuroPerio 9 en Ámsterdam en junio de 2018. La diferencia entre la nueva clasificación y la antigua es que la periodontitis se había dividido en dos categorías principales, periodontitis invasiva y periodontitis crónica, pero la nueva clasificación combina estas dos categorías en una sola periodontitis e introduce un marco diagnóstico de etapas y grados. En este caso, la profundidad de sondaje (PPD) era de más de 6 mm en el momento del examen inicial, se observó una reabsorción ósea vertical de más de 3 mm y dos lesiones de bifurcación radicular, y finalmente se extrajeron cuatro dientes, pero como era necesario un tratamiento protésico completo, se asignó al caso el estadio IV. El estadio C se asignó porque el % de reabsorción ósea/edad, que es el principal factor de la tasa de progresión de la enfermedad, era superior a 1,0 y se observó una rápida progresión. En otras palabras, el paciente fue diagnosticado como estadio IV grado C según la nueva clasificación de la enfermedad periodontal de acuerdo con las normas internacionales.8

2) Tratamiento periodontal básico

La enfermedad periodontal es el resultado de un aumento de la cantidad de placa dental (biofilm dental), que es un agregado de bacterias orales, y de una composición cualitativa anormal (disbiosis).9 La inflamación de los tejidos periodontales se produce como resultado del crecimiento de bacterias periodontopatógenas, principalmente bacterias anaerobias Gram-negativas como Porphyromonas gingivalis, y del crecimiento de placa subgingival. El crecimiento de bacterias periodontopatógenas, principalmente bacterias anaerobias Gram negativas como Porphyromonas gingivalis, provoca la inflamación del tejido periodontal, la formación de bolsas periodontales y el crecimiento de placa subgingival. En vista de ello, la mejora de la limpieza y el control de la inflamación gingival se consideran una de las condiciones esenciales para la estabilidad a largo plazo durante y después del tratamiento dinámico. Sin embargo, en la enfermedad periodontal avanzada se producen cambios morfológicos como bolsas periodontales profundas con reabsorción ósea alveolar, recesión gingival y movimiento dentario patológico, y se pierde la continuidad de cada tejido, convirtiéndose estas zonas en nuevos factores de retención de placa, lo que hace que la enfermedad se agrave, dando lugar a un círculo vicioso que se repite. Afortunadamente, en este caso no faltaban dientes y se mantenía la continuidad de la dentición, por lo que el control de placa se realizó en el margen gingival con un cepillo manual y un cepillo interdental adecuado al tamaño de los espacios interdentales, como es habitual. El paciente presentaba un valor de PCR deficiente del 83,9% en la primera visita, pero tras 14 sesiones de cepillado, el valor de PCR se redujo a menos del 20%. El tratamiento ortodóncico mejoró las irregularidades dentales y el entorno de limpieza bucal, y el mantenimiento y la gestión continuos del entorno bucal también contribuyeron a los buenos resultados.

El trauma oclusal secundario es un factor de riesgo local para la enfermedad periodontal, y es necesario realizar un ajuste oclusal según el estado clínico. En principio, a excepción de la abrasión de primeros auxilios, los ajustes oclusales en pacientes con enfermedad periodontal deben realizarse después de eliminar la inflamación. Esto se debe a que el movimiento de los dientes en pacientes con enfermedad periodontal puede estar causado y potenciado por la inflamación del ligamento periodontal, y los dientes pueden moverse tras la eliminación de la inflamación, dando lugar a otro traumatismo oclusal. En el presente caso, había un alto grado de reabsorción ósea alveolar en todos los maxilares y casi todos los dientes presentaban un trauma oclusal secundario. En los molares anteriores mandibulares y maxilares, en los que los dientes sobresalían y se movían, se rasuraron los puntos de contacto en una fase temprana durante el tratamiento periodontal básico para reducir la nocividad de la oclusión traumática, y se redujo la inflamación mediante SRP, etc. Después de extraer los dientes que no podían responder al tratamiento y de colocar secuencialmente un aparato protésico temporal, se observó el trauma oclusal secundario y se comprobó constantemente la flemitis. Se ajustó la mordida del paciente para que se guiara por la función de grupo de los caninos a los premolares durante el ajuste oclusal y el movimiento lateral, al tiempo que se comprobaba constantemente el fremitus.

3) Tratamiento de ortodoncia

Este caso de un paciente fue tratado con ortodoncia para mejorar el plexo de los dientes anteriores mandibulares durante el periodo de tratamiento de restauración de la función oral. El tratamiento de ortodoncia es un método muy eficaz de mejora estética y funcional en adultos. Sin embargo, el tratamiento de ortodoncia en adultos suele ir asociado a problemas como caries, enfermedad pulpar, enfermedad periodontal y pérdida de dientes. Además, también pueden padecer enfermedades sistémicas, que requieren una mayor consideración y conocimientos multidisciplinares.10 Un conocimiento profundo de la ortodoncia y la periodoncia es esencial a la hora de tratar a estos pacientes. La gestión de los tejidos periodontales es necesaria en todas las fases del tratamiento, desde el diagnóstico ortodóncico hasta la evaluación periodontal durante el tratamiento, el control de la placa y la evaluación postoperatoria.

Los estudios han demostrado que el tratamiento ortodóncico no afecta negativamente al tejido periodontal cuando la inflamación gingival está bajo control.11 Aunque los aparatos de ortodoncia fijos pueden crear barreras que comprometan la higiene oral y provoquen la retención de placa,12,13 se ha observado que un cuidado dental exhaustivo durante el tratamiento ortodóncico reduce los cambios adversos, como la hemorragia gingival14-15 y el volumen de placa.14-16 Por lo tanto, el tratamiento ortodóncico sólo debe realizarse cuando la enfermedad periodontal activa esté bajo control. En informes recientes se ha llegado al consenso de que debe garantizarse el establecimiento y mantenimiento de un estado del tejido periodontal libre de inflamación durante y después del tratamiento ortodóncico.17 Además, el tratamiento ortodóncico cuando el ligamento periodontal está comprometido debe seguir aplicando fuerzas ligeras de 5 g a 15 g.18 Por lo tanto, en el tratamiento ortodóncico en pacientes con enfermedad periodontal, es importante aplicar una fuerza ortodóncica adecuada según el grado de tejido periodontal residual.

En el presente caso, además de la estabilización de la afección mediante el tratamiento periodontal básico, los hallazgos radiográficos mostraron que los cambios orgánicos en el hueso alveolar tras el tratamiento ortodóncico, como la reabsorción radicular anómala y la reabsorción ósea alveolar, no habían progresado en comparación con el examen inicial, ni se había producido una expansión significativa del lumen periodontal, y en algunas zonas el nivel óseo alveolar había mejorado y el espacio del ligamento periodontal no se había ampliado de forma significativa. La reabsorción ósea alveolar no había avanzado en comparación con el examen inicial y no había una ampliación significativa del espacio del ligamento periodontal. Esto se debió probablemente a las fuerzas ortodóncicas apropiadas durante el tratamiento ortodóncico. Durante el tratamiento ortodóncico, el periodoncista examinó mensualmente al paciente para comprobar el control de la placa, el contacto prematuro durante el tratamiento dinámico, la interferencia oclusal y el ajuste oclusal en caso necesario. El enfoque integrado de la ortodoncia y la periodoncia es útil y contribuye a una planificación cualitativa, funcional y estética ideal, especialmente en casos clínicos complejos, y puede conducir a un plan de tratamiento óptimo.19

(5) Tratamiento protésico

A la hora de seleccionar y diseñar el tratamiento protésico definitivo en este caso, se consideraron las prótesis dentales, los implantes y los puentes corona. En primer lugar, la paciente no optó por una dentadura postiza desde el momento de la prótesis provisional en el momento del tratamiento periodontal básico. A continuación, se consideró la colocación de implantes en los premolares y molares maxilares, pero la cantidad de hueso alveolar era baja en todas las zonas, lo que requería elevaciones de seno, injertos óseos y cirugía plástica periodontal posterior, y existía riesgo de oclusión traumática causada por los implantes debido al equilibrio óseo alveolar de los dientes que se iban a tratar con implantes. El paciente no deseaba colocarse implantes debido al tiempo y al coste del tratamiento.

En los pacientes con dientes alterados debido a una reabsorción ósea alveolar grave, si no se observa ningún efecto del tratamiento con el ajuste oclusal, la modificación de la morfología de la corona o la fijación temporal, es necesario desarrollar un plan de tratamiento que considere la fijación temporal o permanente con una amplia gama de dispositivos de tratamiento periodontal. En el presente caso, como se observó un alto grado de reabsorción ósea alveolar en el maxilar, se planificó realizar la restauración maxilar definitiva con un dispositivo protésico fijo de arcada cruzada para distribuir la carga masticatoria de forma más adecuada a lo largo de toda la arcada en lugar de unidades individuales y evitar la sobrecarga de los dientes pilares debido a la reducción del soporte periodontal. Se ha informado de que los puentes fijos con un diseño de arcada cruzada proporcionan cierta rigidez y distribuyen más adecuadamente la carga masticatoria a lo largo de toda la arcada en lugar de unidades individuales, evitando así la sobrecarga de los dientes pilares debido a un menor soporte del tejido periodontal.20,21 También se ha informado de que cuando la infección periodontal está controlada, incluso si el soporte óseo alveolar original es del 20-30%, el diente pilar puede funcionar adecuadamente.22-24

6) Mantenimiento y SPT

Los informes de seguimiento a largo plazo sugieren que si los tejidos periodontales son estables y se introduce el SPT para prevenir la recidiva de la periodontitis, un diente con un soporte deficiente de los tejidos periodontales puede anclar una prótesis fija que cubra un amplio rango,24,25 lo cual es un factor de vital importancia en el cumplimiento del paciente que conduce al éxito a largo plazo, además del sistema de recuerdo dental individualizado. Estos informes indican que el nivel adecuado de control de la placa se puede lograr y mantener no sólo en los tratamientos de boca completa, sino también en todos los casos de tratamiento.26 Además, algunas literaturas han llegado a la conclusión de que la tasa de éxito a largo plazo se puede lograr con los pacientes que sufren una pérdida significativa de tejido periodontal después de recibir un tratamiento combinado de tratamiento de la periodontitis y el tratamiento protésico con el caso de mantenimiento adecuado y coherente.22 Dado que la enfermedad periodontal es propensa a la recidiva, el mantenimiento y la SPT son imperativos para el mantenimiento a largo plazo de los tejidos periodontales que fueron curados o estabilizados por los tratamientos periodontales. En diversas literaturas, se utilizan diferentes terminologías, como cuidados periodontales de apoyo (SPC) y terapia periodontal de apoyo (SPT).27 Sin embargo, la Sociedad Japonesa de Periodoncia diferencia el mantenimiento de la TPE. El significado designado de mantenimiento es "supervisión de la salud" para mantener los tejidos periodontales a largo plazo, mientras que SPT es un "tratamiento" para mantener los tejidos periodontales que son sintomáticamente estables.28

La salud periodontal y la estabilidad dental a largo plazo dependen de la calidad y la frecuencia del mantenimiento y la fisioterapia. Se ha demostrado que el riesgo de pérdida de dientes es de cinco a seis veces mayor en los pacientes que no reciben un mantenimiento y un TSP regulares que en los que sí los reciben.29 Por lo tanto, el propósito y la necesidad del mantenimiento y la fisioterapia deben ser bien explicados y comprendidos por el paciente antes del tratamiento periodontal.30 Es difícil eliminar por completo el sarro subgingival y el tejido infectado, incluso en zonas que pueden visualizarse directamente mediante un tratamiento periodontal básico o procedimientos quirúrgicos periodontales. Si no se elimina suficientemente el biofilm subgingival, se induce una pérdida persistente de inserción a pesar de la ausencia de síntomas clínicos. Por lo tanto, es importante eliminar el biofilm de forma continuada una vez finalizado el APT.

Como punto de tratamiento durante los mantenimientos y SP, La Academia Americana de Periodoncia (AAP) establece los siguientes enfoques de tratamiento en su guía para el mantenimiento y SPT: ① actualización de los historiales médicos y dentales, ② evaluación de los tejidos blandos extraorales e intraorales, periodontales y periimplantarios actuales: ③ evaluación del estado de higiene oral, ④ evaluación de la higiene oral del paciente, ⑤ evaluación de los tejidos periodontales y de los factores de riesgo, ⑥ eliminación de la placa bacteriana supragingival y subgingival y del cálculo, ⑦ retratamiento de la enfermedad según sea necesario. Se distingue de los exámenes diarios en que se incluyen los cuidados posteriores al tratamiento, como la evaluación exhaustiva de los tejidos periodontales, la evaluación de los factores de riesgo, el desbridamiento mecánico de las placas y los depósitos de cálculo.31

También es muy importante sugerir un periodo de mantenimiento y SPT adecuado para cada paciente individual. Debe fijarse en un periodo adecuado32 teniendo en cuenta la enfermedad sistémica y el cumplimiento del paciente.

Durante el periodo de SPT intervienen diversos factores de forma compleja, como la rotura de la prótesis, la fractura radicular, el deterioro de los dientes considerados salvables, el propio envejecimiento del paciente y el desarrollo de enfermedades sistémicas. El presente caso de un paciente con periodontitis grave y tratamiento integral que incluía ortodoncia y prótesis requería una atención especial: el periodo de SPT se fijó en 2 meses, y aunque se observó inflamación gingival varias veces durante el periodo de SPT, el paciente se mantuvo en buen estado 10 años después del SPT mediante tratamiento precoz. El SPT continuado y el tratamiento precoz de los síntomas agudos pueden conducir a la conservación a largo plazo incluso de los dientes pilares cargados y de los dientes tratados ortodóncicamente.


No hay conflictos de intereses que revelar en relación con este artículo.

Referencias

  1. 厚生労働省 令和4年歯科疾患実態調査. 4mm以上の歯周ポケットを持つ人の割合https://www.mhlw.go.jp/content/10804000/001112405.pdf
  2. Rathod SR, Kolte AP, Chintawar S: The dynamic relationship between pathological migrating teeth and periodontal disease. J Indian Soc Periodontol, 17(6): 762-4, 2013.
  3. Meetu Preet Jain,Preet Rajendra Jain,Harneet Singh Chawla, et al: Pathological tooth migration-spontaneous correction of diastema after surgical periodontal therapy: a case report. Pan Afr Med J, 41:39, 2022.
  4. Brunsvold MA: Pathologic tooth migration. J Periodontol, 76: 859-866, 2005.
  5. Lindhe J: Textbook of clinical Periodontology 2nd edition Munksagaard Copenhagen, 563-589, 1989.
  6. Kessler M: Interrelationships between orthodontics and periodntics. American Journal of Orthodontics, 70:154-172, 1976.
  7. Melsen B, Agerbaek N: Othodontics as an adjunct to rehabilitation. Periodontal 2000, 4: 148-159, 1994.
  8. Panos N Papapanou, Mariano Sanz, Nurcan Buduneli, et al: Periodontitis: Consensus report of workgroup 2 of the 2017 World Workshop on the Classification of Periodontal and Peri-Implant Diseases and Conditions. J Periodontol, 89 Suppl 1: S173-S182. 2018.
  9. Dutzan N , Kajikawa T, Abusleme L, et al: A dysbiotic microbiome triggers TH17 cells to mediate oral mucosal immunopathology in mice and humans. Sci Transl Med, 10: eaat0797, 2018.
  10. 坂本輝雄,原埼守弘,山口秀晴ほか: 包括的歯科治療を行った成人上顎前突症例. 歯科学報,104(6): 592-598,2004.
  11. Nadimpalli H, Kamath DG, Kadakampally D: Perio-ortho interactions - a review. J Pharmaceut Sci Res, 10: 1053–1056, 2018.
  12. Alexander SA: Effects of orthodontic attachments on the gingival health of permanent second molars. Am J Orthod Dentofacial Orthop, 100: 337–340, 1991.
  13. van Gastel J, Quirynen M, Teughels W, et al: Longitudinal changes in microbiology and clinical periodontal parameters after removal of fixed orthodontic appliances. Eur J Orthod, 33: 15–21, 2011.
  14. Erkan M, Pikdoken L, Usumez S: Gingival response to mandibular incisor intrusion. Am J Orthod Dentofacial Orthop, 132: 143–149, 2007.
  15. Ari-Demirkaya A, Ilhan I: Effects of relapse forces on periodontal status of mandibular incisors following orthognathic surgery. J Periodontol, 79: 2069–2077, 2008.
  16. Sinclair PM, Berry CW, Bennett CL, et al: Changes in gingiva and gingival flora with bonding and banding. Angle Orthod, 57:271–278, 1987.
  17. Erbe C, Heger S, Kasaj A, et al: Christina Orthodontic treatment in periodontally compromised patients: a systematic review. Clinical Oral Investigations, 27: 79-89, 2023.
  18. Melsen B, Agerbaek N, Markenstam G: 辺縁骨損失のある成人患者における切歯の侵入. Am J Orthod Dentofacial Orthop, 96(3):232–241, 1989.
  19. Alsulaimani L, Alqarni H, Akel M, et al: The Orthodontics-Periodontics Challenges in Integrated Treatment: A Comprehensive Review. Cureus, 15(5): e38994, 2023.
  20. Nyman S R, Lang N P: Tooth mobility and the biological rationale for splinting teeth. Periodontol 2000, 4: 15–22, 1994.
  21. Fardal O, Linden GJ: Long-term outcomes for cross-arch stabilizing bridges in periodontal maintenance patients—A retrospective study. J Clin. Periodontol, 37: 299–304, 2010.
  22. S W Yi, I Ericsson, G E Carlsson, et al: Long-term follow-up of cross-arch fixed partial dentures in patients with advanced periodontal destruction, Acta Odontol Scand, 53: 242–248, 1995.
  23. Laurell L, Lundgren D, Falk H et al: Long-term prognosis of extensive polyunit cantilevered fixed partial dentures. J Prosthet Dent, 66: 545–552, 1991.
  24. Lundgren D: Prosthetic reconstruction of dentitions seriously compromised by periodontal disease. J Clin Periodontol, 18: 390–395, 1991.
  25. D Lundgren, S Nyman, L Heijl, G E Carlsson: Functional analysis of fixed bridges on abutment teeth with reduced periodontal support. J Oral Rehabil,2(2): 105-16,1975.
  26. S Kourkouta, K W Hemmings, L Laurell: Restoration of periodontally compromised dentitions using cross-arch bridges.Principles of perio-prosthetic patient management. Br Dent J, 203: 189-95. 2007.
  27. Stefan Renvert,G. Rutger Persson: Supportive periodontal therapy. Periodontology 2000,36: 179-95, 2004
  28. 茂木美穂: メインテナンス・SPTにおける3つのポイント.日周歯,57(3): 130-133,2015
  29. Luigi Checchi,Marco Montevecchi,Maria Rosaria Antonella Gatto,et al: Retrospective study of tooth loss in 92 treated periodontal patients. J Clin Periodontol,29(7):651-6, 2002.
  30. William Becker,Burton E. Becker,Lawrence E. Berg : Periodontal Treatment Without Maintenance: A Retrospective Study in 44 Patients. J Periodontol, 55(9):505-9, 1984.
  31. Carolina Manresa, Elena C Sanz-Miralles, Joshua Twigg, et al: Supportive periodontal therapy (SPT) for maintaining the dentition in adults treated for periodontitis. Cochrane Database Syst Rev, 1(1): CD009376, 2018.
  32. MG Newman, H Takei, PR Klokkevold, et al: Newman and Carranza’s Clinical Periodontology 13th Edication.ELSEVIER.2019.